НМЦ

ОБСТЕЖЕННЯ ТА ОЦІНКА СТАНУ ЗДОРОВ’Я ЛЮДИНИ

Електронний підручник

 

ВФПО

2. ДІАГНОСТИКА ФУНКЦІОНАЛЬНОГО СТАНУ ОРГАНІЗМУ ЛЮДИНИ ЗА ДОПОМОГОЮ

ФУНКЦІОНАЛЬНИХ ПРОБ. ДІАГНОСТИЧНЕ ЗНАЧЕННЯ ОСНОВНИХ ПРОМЕНЕВИХ,

ЕНДОСКОПІЧНИХ ТА ЗОНДОВИХ МЕТОДІВ ДОСЛІДЖЕННЯ ОРГАНІВ

 

ІНСТРУКЦІЯ №2

ТЕОРЕТИЧНА КОНКРЕТИЗАЦІЯ ЗНАНЬ. ВІДПОВІДІ НА КОНТРОЛЬНІ ЗАПИТАННЯ

2.1. Функціональна діагностика. Функціональні проби, їх значення, використання

2.2. Класифікація функціональних проб

2.3. Променеві методи діагностики: рентгенологічні – характеристика, підготовка пацієнта, показання до застосування

2.4. Променеві методи діагностики: магнітно-резонансні, характеристика, підготовка пацієнта, показання до застосування

2.5. Ендоскопічні, зондові методи дослідження. Характеристика. Підготовка пацієнта, показання до застосування

ПРАКТИЧНА РОБОТА СТУДЕНТІВ ПІД КЕРІВНИЦТВОМ ВИКЛАДАЧА

Практичний навик 1. Проба із затримкою дихання під час вдиху (проба Штанге)

Практичний навик 2. Проба із затримкою дихання під час видиху (проба Генчі)

Практичний навик 3. Ортостатична проба

Практичний навик 4. Кліностатична проба

Практичний навик 5. Проба Мартіне-Кушелевського

Практичний навик 6. Підготовка пацієнта до рентгенологічних методів дослідження

6.1. Підготовка пацієнта до рентгенологічного дослідження шлунку

6.2. Підготовка пацієнта до рентгенологічного дослідження кишківника (іригоскопії)

6.3. Підготовка пацієнта до рентгенологічного дослідження нирок і сечовивідних шляхів (екскреторної урографії)

Практичний навик 7. Підготовка пацієнта до ендоскопічних методів дослідження

7.1. Підготовка пацієнта до бронхоскопії

7.2. Підготовка пацієнта до ЕФГДС

7.3. Підготовка пацієнта до колоноскопії

7.4. Підготовка пацієнта до ректороманоскопії

7.5. Підготовка пацієнта до цистоскопії

Практичний навик 8. Підготовка пацієнта та проведення внутрішньошлункової рН-метрії

Практичний навик 9. Підготовка пацієнта та проведення дуоденального зондування (трифазне)

 

ТЕОРЕТИЧНА КОНКРЕТИЗАЦІЯ ЗНАНЬ. ВІДПОВІДІ НА КОНТРОЛЬНІ ЗАПИТАННЯ

2.1. Функціональна діагностика. Функціональні проби, їх значення, використання

Функціональна проба – це точно дозований вплив на організм різних факторів, який дозволяє вивчити реакцію фізіологічних систем на той чи інший вплив, дає змогу отримати уявлення про функціональний стан організму в умовах активної життєдіяльності.

Функціональні проби застосовують як у спортивній медицині, так і для деяких методів діагностики конкретних захворювань. Проводять функціональні проби для оцінювання стану будь-якої конкретної системи організму чи органу.

Під час проведення функціональних проб вирішують три основні діагностичні завдання:

1. Визначення і оцінювання характеру реакції органів і систем на чинник, який впливає.

2. Виявлення механізмів адаптації (пристосування) організму до умов, що штучно змінюються.

3. Виявлення прихованих порушень у функціонуванні органів і систем, особливо таких, що знижують толерантність фізичних навантажень або можуть спровокувати розвиток серйозних патологічних станів під час занять фізичною культурою і спортом.

Крім того, функціональні проби дозволяють виявляти ранні ознаки перевтоми чи фізичного перенапруження, які виникають під час неадекватних (надмірних) фізичних навантажень, що є дуже важливим для своєчасного застосування профілактичних заходів та корекції тренувань.

Функціональні проби використовують для оцінювання переважно реакції якоїсь окремої системи у відповідь на вплив. Однак більшість із них характеризують діяльність не однієї окремо взятої системи, а організму в цілому. Проте, щоб отримати більш повноцінне уявлення про функціональний стан організму, доцільно досліджувати низку показників, які характеризують різні сторони його життєдіяльності. Чинники, які впливають на ті чи інші показники, також можуть бути різними, залежно від конкретних завдань функціонального обстеження.

Наприклад, функціональні проби з затримкою дихання характеризують насамперед функціональні можливості серцево-судинної системи, проба Штанге до того ж відображає стійкість організму до недостачі кисню. Спроможність до тривалої затримки дихання залежить певним чином від функціонального стану та потужності дихальних м’язів. Проте під час проведення вищенаведених проб слід мати на увазі, що вони не завжди є цілком об’єктивними, оскільки ще в значній мірі залежать від вольових якостей досліджуваного. Це в деяких випадках знижує практичну цінність цих проб.

 


2.2. Класифікація функціональних проб

І. За застосуванням:

1. Проби для оцінювання центральної нервової системи:

   Ромберга;

   пальце-носова

2. Проби для оцінювання вегетативної нервової системи:

   вимірювання шкірно-судинної реакції;

   ортостатична проба;

   кліностатична проба;

   проба Ашнера.

3. Проби для оцінювання нервово-м'язової системи:

   кистьова динамометрія;

   станова динамометрія;

   статична витривалість м'язів, що згинають кисть;

   статична витривалість м'язів черевного пресу.

4. Проби для оцінювання системи дихання:

   Розенталя;

   Шафрановского;

   Штанге;

   Генчі;

   комбінована проба Серкіна;

   проба із затримкою дихання при гіпервентиляції.

5. Проби для оцінки серцево-судинної системи:

   індекс Кердо;

   Пульсометрія;

   Гарвардський степ-тест;

   проба Мартіне-Кушелевського;

   комбінована проба Летунова

ІІ. Залежно від чинника, що впливає:

1. Проби з фізичним навантаженням:

А) Залежно від часу реєстрації показників:

·   проби на відновлення;

·   проби на зусилля (навантажувальні тести).

Б) В залежності від кількості виконаних навантажень:

·   одномоментні (проба Мартіне-Кушелевського; 15 с біг на місці та ін.);

·   двомоментні (проба Короткова);

·   комбіновані (3-моментна проба Летунова та ін.).

В) Залежно від характеру виконуваних рухів:

·         неспецифічні (використовуються рухи, що характерні практично всім видам спорту – біг, присідання);

·         специфічні (використовуються рухи, що імітують конкретний вид спорту (в боксі, наприклад, «бій з тінню» та ін.).


Г) залежно від інтенсивності виконуваних навантажень:

·   максимальні (або супермаксимальні);

·   субмаксимальні (75% та менше від максимальних).

Д) залежно від умов проведення тестування:

·   тестування в лабораторних умовах з використанням різних видів ергометрів;

·   тестування в звичайних умовах спортивної діяльності або під час оздоровчого тренування.

2. Проби, що пов՚язані зі змінами довкілля:

А) Дихальні проби:

·    з затримкою дихання під час вдиху (проба Штанге);

·    з затримкою дихання під час видиху (проба Генчі);

·   зі змінами газового складу повітря, що вдихають.

Б) Температурні проби:

·    холодова;

·    теплова.

3. Проби, що пов`язані зі змінами венозної реверсії крові до серця:

А) Проби зі змінами положення тіла у просторі:

·   ортостатична (активна, пасивна);

·   кліностатична.

Б) Проби з напружуванням (проба Вальсальви, проби Флека і Бюргера).

4. Фармакологічні проби (з калієм, ß-блокаторами, атропіном та ін.).

5. Харчові (аліментарні) проби:

·   на толерантність до глюкози.

·   на виведення (рідини) та ін.

 

2.3. Променеві методи діагностики: рентгенологічні – характеристика, підготовка пацієнта, показання до застосування

Для діагностики різних захворювань використовують додаткові методи дослідження (мал. 1).

 

Мал. 1. Класифікація додаткових методів обстеження


 

До променевих методів діагностики відносять: 

- рентгенологічні;

- магнітно-резонансні. 

Рентгенологічні обстеження

мал. 9 АЛегені

Мал. 2 А. Рентгенографія легень

Часто застосовуються у клінічній практиці і базуються на просвічуванні окремих частин тіла рентгенівськими променями за рентгенівським екраном (рентгеноскопія). На екрані можна побачити тіні різної прозорості: на фоні прозорих легень можна виявляти ділянки ущільнення легеневої тканини, визначати розміри і конфігурацію серця.

Для фіксації виявлених змін проводять рентгенографію легень (мал. 2 А) – знімають зображення на плівку, що засвічується рентгенівськими променями. На рентгенівській плівці отримують негативне зображення (світлі місця на рентгенівському екрані і навпаки темні – на плівці).

Рентгенографія серця (мал. 2 Б) – простий метод діагностики, який дозволяє оцінити розташування серця і його фізичні параметри. Знімок роблять в бічній і прямій проекції. Для візуалізації задньої межі серця може знадобитися введення контрастної речовини. Дослідження проводять за підозри на вади органу та для спостереження за малим колом кровообігу.

 

мал 9 Серце

мал.9   Шлунок

Мал. 2 Б. Рентгенографія серця

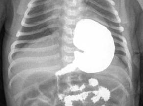
Мал. 2 В. Рентгенологічне дослідження шлунку

 

Рентгенологічне дослідження шлунку (мал. 2 В), кишківника (іригоскопія), нирок (екскреторна урографія мал. 2 Г), жовчного міхура (холецистографія мал. 2 Д).

 

мал. 9 нирки

малю9. Е. Холецистографія

Мал. 2 Г. Екскреторна урографія

Мал. 2 Д. Холецистографія

 

Томографія. Пошарова рентгенографія, що дозволяє отримати зображення окремих шарів досліджуваної ділянки, розташованих на певній глибині. Тіні органів і утворів, розміщених на меншій чи більшій глибині, не накладаються на основне зображення, що дозволяє чітко локалізувати пухлини, запальні інфільтрати. Товщина томографічного шару коливається від 0,5 до 2 см.

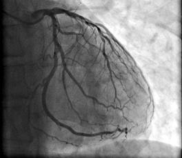
коронарография

Мал. 3. Аневризма аорти

vascularsurgery14

Мал. 4. Аортографія

Коронарографія (мал. 3). Рентгеноконтрастний метод дослідження – найточніше дослідження коронарних артерій. У діагностиці ішемічної хвороби серця ангіографія займає провідне місце. Метод визначає локалізацію тромбу, атеросклеротичної бляшки, дозволяє побачити локалізацію і ступінь звуження гілок судин. Коронарографія визначає необхідність операції. Дозволяє планувати тактику подальшого лікування.

Аортографія (мал.4). Сучасний точний метод дослідження судинної системи людини – аортографія. Комплексне вивчення аорти на рентгенівському апараті проводять після заповнення контрастною речовиною. Методики різняться залежно від виду процедури: аортографію серця застосовують у разі порушення кровообігу, вад і пухлин. Грудною аортографією діагностують відгалуження аорти, захворювання легень, середостіння. Аортографію черевного відділу застосовують для дослідження печінки, сечового міхура, кишечника, матки, селезінки. Ниркову аортографію використовують для діагностування кіст, пієлонефриту, раку.

Процедуру проводять натщесерце. Напередодні ввечері пацієнт очищає кишечник за допомогою клізми. Перед дослідженням перевіряють, чи є алергія на контрастну речовину. Потім роблять місцеве знеболення. Під час процедури роблять прокол стегнової, променевої або пахвової артерії. Всередину судини вводять провідник, через який вставляють катетер. Після вилучення провідника катетер просувається в аорту під контролем рентгену. Під час досягнення судини вводять контрастну речовину – діодон, кардіотраст, гіпак. Одразу після цього роблять низкув знімків, що зберігаються у внутрішній пам’яті комп’ютера. Інформацію можна переносити на флеш-накопичувачі. Під час дослідження людина відчуває тепло. Деякі пацієнти відчувають дискомфорт або нудоту. Після процедури на місце проколу накладають стерильну пов’язку.

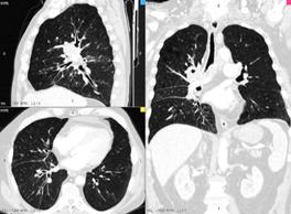
Комп'ютерна томографія (мал.5 А) (мал.5 Б) дослідження на спеціальному комп’ютерному томографі, який складається із здатного до переміщення рентгенівського випромінювача, комп՚ютера і регістратора. Дослідження поперечних зрізів органа за допомогою вузького рентгенівського пучка за кругового руху рентгенівської трубки; інформація про щільність різних органів фіксується спеціальними датчиками, математично обробляється на комп՚ютері і відтворюється на екрані дисплея у вигляді поперечного зрізу людського тіла на різних рівнях; розходження щільності структури органів автоматично оцінюється за допомогою спеціальної шкали, що надає високу точність інформації про будь-яку зону, що цікавить.

 

мал.10А. КТ

мал.10Б. КТ легень

А

Б

Мал. 5. Компютерна томографія легень

 

Комп'ютерна томографія є найбільш інформативним методом рентгенодіагностики. Сфера її застосування дуже широка.

Вона дає змогу чітко диференціювати структури тканин і середовищ за щільністю (кров, рідина, пухлина, межі тканин), завдяки чому можна визначити локалізацію і поширення патологічних процесів в органах і тканинах. Інформація надходить на комп’ютер, що перетворює її на зображення у вигляді поперечного зрізу досліджуваного органу. Зображення можна отримати на екрані телемонітора, плівці та полероїдному слайді (рентгенотелебачення).

Мамографія – це метод обстеження, який дозволяє виявити захворювання молочної залози у початковій формі.

Мамографія є двох видів: класична (рентгенівська) та ультразвукова. Кожен з цих видів є дієвим та надійним, але рішення у виборі методу обстеження приймає лікар, попередньо ознайомившись зі скаргами та анамнезом пацієнтки.

 

2.4. Променеві методи діагностики: магнітно-резонансні, характеристика, підготовка пацієнта, показання до застосування

Мал.13. МРТ

Мал. 6. Магнітно-резонансна томографія

Магнітно-резонансна томографія (мал. 6) – це метод променевої діагностики, успішно впроваджений у медичну практику. Це безболісний метод медичної діагностики, що дозволяє діагностувати захворювання без променевого навантаження. Великою перевагою цього методу є можливість застосування дітям будь-якого віку і вагітним. Відносним протипоказанням є клаустрофобія.

Він заснований на принципі виникнення ядерно-магнітного резонансу. Пошарове зображення тканин формується шляхом зміни реакції ядер водню в рідині або жировій тканині у відповідь на вплив радіочастотних імпульсів стабільного магнітного поля.

Метод дозволяє одержати контрастне зображення м'яких тканин і виявляти навіть вогнища патологічно зміненої тканини, щільність якої не відрізняється від щільності нормальної тканини. МР-томографія є найбільш інформативним методом серед методів променевої діагностики. Сфера її застосування практично не обмежена.

 

2.5. Ендоскопічні, зондові методи дослідження. Характеристика. Підготовка пацієнта, показання до застосування

мал.. Видалення поліпа

Мал. 7. Видалення поліпа в шлунку

Ендоскопічні методи засновані на введенні в порожній орган або порожнину спеціального приладу, що дозволяє визначити форму й розмір досліджуваного органа, стан слизової оболонки (кольори, рельєф, тобто характер, висоту й ширину складок, дрібні зміни поверхні слизової – ерозії, виразки, поліпи (мал. 7).

До ендоскопічних методів обстеження відносять:

• риноскопію, фарингоскопію, отоскопію;

• бронхоскопію;

езофагогастрофібродуоденоскопію;

• ендоскопічну внутрішньошлункову ph-метрію;

• ендоскопічну ретроградну холангіопанкреатографію (ЕРХПГ);

кольпоскопію;

колоноскопію;

ректороманоскопію;

• цистоскопію;

артроскопію.

Торакоскопія, лапароскопія, холангіоскопія, кардіоскопія, ангіоскопія тощо

Рис.8. Біопсія шлунку

Діагностична цінність ендоскопічних методів збільшується завдяки можливості під час дослідження органа брати матеріал з поверхні його слизової оболонки (для вивчення форми й структури клітин) або шматочка тканини (мал. 8).

Ендоскопічні методи застосовуються в урологічній практиці - цистоскопія, нефроскопія; для дослідження суглобів – артроскопія, судин – ангіоскопія, порожнини серця – кардіоскопія; в ургентній невідкладній діагностиці і лікуванні: для виявлення причин внутрішньої кровотечі, видалення каменів чи сторонніх тіл. За допомогою ендоскопії здійснюють бужування, зрошення та аплікації лікарськими засобами оболонок порожнин, електрохірургічні та кріохірургічні маніпуляції, лазеротерапію, ультразвукове опромінення.

Ларингоскопія

Мал. 9. Ларингоскопія

Фарингоскопія – візуальний огляд слизової оболонки глотки, ларингоскопія – гортані (мал.9). Проводять за допомогою спеціального пристрою, що дає можливість під яскравим освітленням ретельно оглянути слизову оболонку, голосові зв’язки та за необхідності провести забір матеріалу для бактеріологічного дослідження. Цю процедуру виконують, якщо пацієнта турбує біль, відчуття першіння в горлі, кашель, нежить, порушене носове дихання, осиплість голосу. За наявності такого симптомокомплексу цей метод є стандартним обстеженням, дає можливість лікарю візуалізувати ознаки та характер запалення, виявити пошкодження, сторонні предмети, новоутворення тощо.

Мал. 10. Риноскопія

Мал. 11. Отоскопія

Риноскопія (мал.10) – метод дослідження порожнини носа. Дослідження виконують за допомогою риноскопу з підсвіткою та носових дзеркал. Метод дає можливість оцінити стан слизової носових ходів та носоглотки, виявити причини порушення носового дихання. Частіше проводять разом з фарингоскопією, що дає можливість комплексно оцінити стан хворого.

 

Отоскопія (мал.11) – огляд зовнішнього слухового проходу й барабанної перетинки, а за відсутності останньої або наявності прориву в ній – також і барабанної порожнини. Проводиться за допомогою отоскопу, пристрою, з яким можна отримати збільшені та чіткі зображення, що дають можливість правильно оцінювати стан зовнішнього та середнього вуха, а отже, і застосовувати належну терапію.

 

 

 

ameliyatta-adam

мал. Бронхоскопія

Мал. 12. Езофагогастродуоденоскопія

Мал. 13. Бронхоскопія

колоноскопія

мал. цистоскопія

Мал. 14.Колоноскопія

Мал. 15 Цистоскопія

 

Відеоендоскопічні дослідження – це метод діагностики захворювань внутрішніх органів за допомогою відеоендоскопа, спеціального обладнання, яке через природні отвори організму вводиться всередину і передає зображення на монітори. Це один з найбільш інформативних видів діагностики за цілої низки патологій.

 

ПРАКТИЧНА РОБОТА СТУДЕНТІВ ПІД КЕРІВНИЦТВОМ ВИКЛАДАЧА

Практичний навик 1. Проба із затримкою дихання під час вдиху (проба Штанге)

Попередня підготовка

1. Привітатися та познайомитися з пацієнтом.

2. Пояснити мету проби, отримати згоду на її проведення.

3. Провести психологічну підготовку пацієнта.

4. Пробу виконують у положенні сидячи, після відпочинку 5–7 хвилин.

Основні етапи виконання навику

1. Досліджуваний має зробити глибокий (але не максимальний) вдих і затримати дихання якомога довше (стискуючи ніс пальцями). Тривалість часу перерви у диханні відлічують секундоміром. У момент видиху секундомір зупиняють.

Примітка: максимальний вдих, розтягуючи легені, може призвести до подразнення закінчень n. vagus, внаслідок чого активізується дихальний центр і людина не може тривалий час затримувати дихання.

Заключний етап

Оцінювання проби: у здорових дітей та підлітків у віці 6–18 років тривалість затримки дихання під час вдиху 16–55 с. У здорових нетренованих дорослих чоловіків час затримки дихання 40–60 с, у жінок – 30–40 с. У спортсменів – 60–120 с у чоловіків, 40–95 с у жінок. У разі захворювання органів кровообігу, дихання, анемії тривалість затримки дихання зменшується.

 

Практичний навик 2. Проба із затримкою дихання під час видиху (проба Генчі)

Попередня підготовка.

1. Привітатися та познайомитися з пацієнтом.

2. Пояснити мету проби, отримати згоду на її проведення.

3. Провести психологічну підготовку пацієнта.

4. Пробу виконують у положенні сидячи, після відпочинку 5–7 хвилин.

Основні етапи виконання навику

1. Досліджуваний має зробити звичайний (не глибокий) видих, потім затримати дихання. Тривалість перерви у диханні відзначається секундоміром. Його зупиняють у момент вдиху.

Заключний етап

Оцінювання проби: час затримки дихання у здорових нетренованих – 25–40 с у чоловіків і 15–30 с – у жінок. У спортсменів – до 50–60 с у чоловіків і 30–50 с у жінок.

 

Практичний навик 3. Ортостатична проба

Попередня підготовка

1. Привітатися та познайомитися з пацієнтом.

2. Пояснити мету проби, отримати згоду на її проведення.

3. Провести психологічну підготовку пацієнта.

Основні етапи виконання навику

1. Пацієнту запропонувати протягом не менше ніж 5 хв перебувати в положенні лежачи.

2. У досліджуваного підрахувати частоту пульсу за 15 с і результат помножити на 4. Тим самим визначають вихідну частоту серцевих скорочень за 1 хв.

3. Досліджуваний повільно (за 2–3 с) встає. Одразу після переходу у вертикальне положення, а потім через 3 хв стояння (тобто коли показник ЧСС стабілізується) у нього знову визначити частоту серцевих скорочень (за даними пульсу за 15 с, помножити на 4).

Заключний етап

Оцінювання проби: нормальною реакцією на пробу є збільшення ЧСС на 10–16 ударів за 1 хв відразу після підйому. Після стабілізації цього показника через 3 хв стояння ЧСС зменшується, але при цьому на 6–10 ударів за 1 хв вища, ніж у горизонтальному положенні. Сильніша реакція свідчить про підвищену реактивність симпатичної частини вегетативної нервової системи, що притаманне недостатньо тренованим особам. Слабшу реакцію спостерігають у разі зниженої реактивності симпатичної частини нервової системи, і підвищеного тонусу парасимпатичної частини вегетативної нервової системи.

 

Практичний навик 4. Кліностатична проба

Попередня підготовка

1. Привітатися та познайомитися з пацієнтом.

2. Пояснити мету проби, отримати згоду на її проведення.

3. Провести психологічну підготовку пацієнта.

Основні етапи виконання навику

1. Визначити ЧСС після 5 хв спокійного стояння досліджуваного.

2. Повільно перейти у положення лежачи, і потім після 3 хв перебування у горизонтальному положенні визначити пульс.

3. Підраховують пульс за 15 с результат помножити на 4.

Заключний етап

Оцінювання проби: для нормальної реакції характерно зниження ЧСС на 8–14 ударів за 1 хв відразу після переходу в горизонтальне положення і деяке підвищення показника після 3 хв стабілізації, але ЧСС при цьому на 6–8 ударів за 1 хв нижча, ніж у вертикальному положенні. Більше зниження пульсу свідчить про підвищену реактивність парасимпатичної частини вегетативної нервової системи, менше – про знижену реактивність.

 

Практичний навик 5. Проба Мартіне-Кушелевського

Попередня підготовка

1. Привітатися та познайомитися з пацієнтом.

2. Пояснити мету проби, отримати згоду на її проведення.

3. Провести психологічну підготовку пацієнта.

4. Пробу проводять сидячи після відпочинку, не менше 3–5 хв.

Основні етапи виконання навику

1. У обстежуваного в положенні сидячи визначити початкові рівні пульсу та артеріального тиску. Для цього накладають манжету тонометра на ліве плече і через 1–1,5 хв (час, необхідний для зникнення рефлексу, що може з’явитися під час накладання манжети) вимірюють спочатку пульс, а потім артеріальний тиск. Частоту пульсу підраховують за 10 с кілька інтервалів часу, до тих пір, поки не буде отримано дві–три однакові цифри підряд (наприклад, 12–12–12). Інколи, за наявності дихальної аритмії (це прискорення ЧСС під час вдиху та уповільнення під час видиху), пульс може бути неритмічним (наприклад, 10,11,12,11,12,11), внаслідок чого не можливо зафіксувати підряд дві–три однакові цифри. В таких випадках обстежуваного потрібно попросити затримати дихання (після звичайного видиху) на 10–20 с і в цей час підрахувати частоту пульсу.

2. Під час проведення проби до навантаження, необхідно звертати увагу на характер пульсу (задовільного наповнення, ритмічний чи аритмічний), а також проводити аускультацію серця (в положенні стоячи, а за необхідності – лежачи).

3. Обстежуваний має присідати 20 разів за 30с. Під час проведення цієї функціональної проби слід: присідати достатньо глибоко, виконувати присідання в помірному темпі, під час кожного присідання обстежуваний має витягувати руки вперед, під час вставання – опускати. Під час виконання проби необхідно стежити за зовнішніми ознаками перевтоми чи несприятливої реакції на фізичне навантаження, у разі виникнення яких пробу припиняють.

4. По закінченні присідань, обстежуваний сідає, лікар включає секундомір і проводить підрахунок пульсу за перші 10 с 1-ї хв відновлюваного періоду, далі впродовж останніх 50 с 1-ї хв, вимірює артеріальний тиск (далі – АТ).

На початку 2-ї хв знову підраховує частоту пульсу за 10-ти с інтервали часу до троєкратного повторення вихідної частоти пульсу. Навіть, якщо пульс відновився вже на 2-й хв відновлювального періоду рекомендують не припиняти, а продовжувати рахувати його до кінця 3-ї хв. По закінченні 3-ї хвилини вимірюють востаннє АТ.

Частоту пульсу доцільно рахувати до кінця 3-ї хв у зв’язку з тим, що існує ймовірність виникнення так званої «негативної фази пульсу», тобто зменшення його величини нижче від вихідного рівня більш ніж на 2–3 і більше ударів за 10 с. Таке порідшання пульсу, як правило, триває не менше трьох 10-секундних відрізків, а потім пульс знову частішає і поступово повертається до норми. «Негативну фазу» пульсу пов’язують з розбалансованістю в діяльності симпатичного та парасимпатичного відділів вегетативної нервової системи, що призводить до зміни послідовності процесів відновлення. Такі відхилення реєструють у осіб з лабільною нервовою системою, у разі нейроциркуляторної дистонії, у спортсменів за перетренованості, після нервово-психічних перенапружень. Якщо після навантаження негативна фаза пульсу утримується понад 3 хв, то таку реакцію оцінюють як незадовільна.

5. Під час проведення проби після навантаження необхідно звертати увагу на характер пульсу (задовільного наповнення, ритмічний чи аритмічний), а також проводити аускультацію серця (в положенні стоячи, а за необхідності – лежачи.

Заключний етап

Оцінювання проби: здійснюється шляхом визначення типу реакції серцево-судинної системи на фізичне навантаження. Для визначення типу реакції серцево-судинної системи на фізичне навантаження враховують такі параметри:

1. Збудливість пульсу – збільшення частоти пульсу по відношенню до початкового значення, відзначене у відсотках;

2. Характер змін артеріального тиску – окремо систолічного, діастолічного і пульсового;

3. Період відновлення – час повернення показників пульсу і АТ до початкового рівня.

Виникнення того чи іншого типу реакції пов’язано зі змінами гемодинаміки, які відбуваються в організмі під час виконання м’язової роботи.

Адаптація до навантаження серця тренованих осіб більшою мірою відбувається за рахунок збільшення ударного об’єму і меншою – за рахунок почастішання серцевих скорочень, а нетренованих чи недостатньо тренованих – переважно за рахунок збільшення ЧСС і меншою мірою – за рахунок збільшення ударного об’єму.

Виділяють п՚ять основних типів реакції серцево-судинної системи: нормотонічний, гіпотонічний (астенічний), гіпертонічний, дістонічний та східчастий.

1. Нормотонічний тип реакції характеризується прискоренням частоти пульсу на 60–80% (у середньому на 6–7 уд. за 10 с), взагалі не більше 100%; помірним підвищенням систолічного АТ до 15–30% (приблизно на 20–30 мм рт.ст.); помірним зниженням діастолічного АТ на 10–15% (5–10 мм рт.ст.), яке зумовлено зменшенням загального периферичного опору внаслідок розширення судин периферичного судинного русла; значним збільшенням пульсового АТ – на 80-100%, яке опосередковано характеризує величину серцевого викиду і свідчить про її збільшення. Період відновлення пульсу і АТ в нормі складає – у чоловіків до 2,5 хвилин, у жінок – до 3-х хвилин.

Висновок. Цей тип реакції вважається сприятливим, так як свідчить про адекватний механізм пристосування організму до фізичного навантаження. Функціональний стан серцево-судинної системи оцінюють як добрий або високий. Дозволяються заняття в основній медичній групі в тренувальному режимі.

Проте, якщо при цьому типі реакції показники пульсу і АТ повністю не відновлюються до кінця 3-ї хв (тобто період відновлення уповільнений) – то реакція вважається лише умовно сприятливою, а функціональний стан серцево-судинної системи оцінюється як задовільний або середній. Найчастіше уповільнення процесу відновлення пульсу і АТ за нормотонічного типу реакції зустрічається у малотренованих осіб і тому заняття в основній групі дозволяються, але поступово, починаючи із щадно-тренувального режиму.

2. Гіпотонічний (астенічний) тип реакції характеризується значним прискоренням пульсу – понад 100–150%; слабким, недостатнім підвищенням систолічного АТ (менше 15 %), або він зовсім не змінюється; діастолічний АТ при цьому не змінюється або навіть підвищується; внаслідок таких змін пульсовий АТ зменшується, або, якщо і підвищується, то несуттєво; період відновлення значно уповільнений – більше 5–10 хвилин.

Висновок. Цей тип реакції вважається несприятливим, оскільки механізм адаптації до навантаження здійснюється переважно за рахунок збільшення ЧСС при незначному УОС, тобто серце працює з великими енерговитратами, але малоефективно. Спостерігається у нетренованих або малотренованих осіб, при вегетативних дисфункціях за гіпотонічним типом, після перенесених захворювань, за перевтоми та перенапруження (у спортсменів). Функціональний стан серцево-судинної системи оцінюють як незадовільний або низький.

3. Гіпертонічний тип реакції характеризується: значним прискоренням пульсу – більше 100%; значним (понад 30%) підвищенням систолічного АТ – до 180–200 мм рт.ст. і вище, а також підвищенням діастолічного АТ – до 90 мм рт.ст. і вище (внаслідок спазму периферичних судин). Пульсовий АТ при цьому може значно зрости. Проте в цьому випадку це не є позитивним явищем. Період відновлення показників суттєво уповільнений (понад 3 хвилин).

Висновок. Тип реакції вважається несприятливим у зв`язку з тим, що механізм адаптації до навантаження неадекватний. Цей тип зустрічається за схильності до гіпертонічних станів (зокрема у разі прихованих форм артеріальної гіпертензії), вегетативних дисфункцій за гіпертонічним типом, початкових і симптоматичних гіпертензій; атеросклерозу судин, за перевтоми і фізичного перенапруження (у спортсменів). Схильність до гіпертонічного типу реакції під час виконання інтенсивніших фізичних навантажень може зумовити виникнення судинних «катастроф» (гіпертонічного кризу, інфаркту, інсульту тощо).

Розрізняють також гіперреактивний тип реакції для якого, на відміну від гіпертонічного, характерне помірне зниження діастолічного артеріального тиску. Його вважають більш сприятливим, ніж гіпертонічний. Проте все одно він свідчить про наявність підвищеної реактивності симпатичного відділу вегетативної нервової системи, що є однією з початкових ознак вегетативної дисфункціїсимпатикотонії, яка в подальшому, за умов відсутності профілактичних заходів, може призводити до розвитку гіпертонічної хвороби. Функціональний стан серцево-судинної системи за гіпертонічного і гіперреактивного типу реакції оцінюють як незадовільний або низький.

4. Дістонічний тип реакції характеризується значним прискоренням пульсу – понад 100%; істотним підвищенням систолічного АТ (понад 170–180 мм рт.ст.) та значним зниженням діастолічного АТ, буквально до нуля (при цьому вислуховується «феномен нескінченного тону»). Таке явище триває, як правило, понад 2-і хвилини. Період відновлення значно уповільнений.

Висновок. Тип реакції вважається несприятливим, оскільки свідчить про надмірну лабільність системи кровообігу, що зумовлено різким порушенням нервової регуляції периферичного (мікроциркуляторного) судинного русла. Спостерігається у разі порушення з боку вегетативної нервової системи, неврозів, після перенесених інфекційних захворювань (особливо грипу), часто у підлітків у пубертатному та препубертатному періодах, під час перевтоми і перенапруження (у спортсменів). Функціональний стан серцево-судинної системи оцінюють як незадовільний або низький.

5. Східчастий тип реакції характеризується різким збільшенням частоти пульсу – понад 100%; східчастим підвищенням систолічного АТ, тобто систолічний АТ, виміряний безпосередньо після навантаження – на першій хвилині – нижчий, ніж на 2-й або 3 хвилинах періоду відновлення. Період відновлення уповільнений.

Висновок. Тип реакції вважається несприятливим, тому що механізм адаптації до навантаження свідчить про ослаблену систему кровообігу, не здатну адекватно і швидко забезпечувати перерозподіл кровотоку, необхідний для виконання м’язової роботи. Часто спостерігають у разі атеросклерозу судин, у осіб похилого віку, особливо при захворюваннях серцево-судинної системи, після перенесених інфекційних захворювань, під час перевтоми, за низької фізичної підготовки, а також недостатньої загальної тренованості у спортсменів. Функціональний стан серцево-судинної системи оцінюють як незадовільний або низький.

Комбінована проба Летунова. Проба застосовується лише у спортсменів, які мають спортивний розряд.

 

Практичний навик 6. Підготовка пацієнта до рентгенологічних методів дослідження

6.1. Підготовка пацієнта до рентгенологічного дослідження шлунку

Попередня підготовка:

1. Привітатися та познайомитися з пацієнтом, пояснити мету дослідження, отримати згоду на проведення.

2. Пояснити пацієнту особливості дієти протягом 2–3 днів до обстеження: з харчового раціону потрібно вилучити чорний хліб, молоко, бобові, капусту, солодощі, тобто ті продукти, які спричиняють метеоризм і дають велику кількість шлаків.

3. Напередодні обстеження останній прийом легкої низькокалорійної їжі має бути не пізніше 21-ї години. На ніч порекомендувати випити склянку кефіру.

4. Вранці в день обстеження пацієнт не повинен приймати їжу та рідину, лікарські препарати, курити. Дослідження проводять натще.

5. Амбулаторному пацієнту з’явитися в рентгенологічний кабінет у призначений день і час з направленням та амбулаторною картою для запису результатів дослідження.

6. Стаціонарному пацієнту з’явитися в рентгенологічний кабінет у супроводі медичної сестри відділення, яка відносить медичну карту стаціонарного хворого сама.

7. З’ясувати у пацієнта, чи він зрозумів підготовку до процедури, за можливості – дати письмові рекомендації.

Основні етапи виконання

1. У рентгенологічному кабінеті в день дослідження пацієнт приймає всередину сульфат барію, розведений теплою перевареною водою.

2. Після цього лікар проводить рентгенологічне дослідження шлунку.

3. Пацієнту з уповільненою евакуацією вмісту шлунка, яка буває у разі стенозу пілоруса або атонії шлунка, призначають повторне обстеження на другий і третій день для визначення добового залишку контрастної маси у шлунку. У такому випадку дуже важливо точно дотримуватися терміну повторного огляду.

Заключний етап: з’ясувати у пацієнта, як він себе почуває після дослідження чи він зрозумів підготовку до процедури, якщо потрібно повторне дослідження, за можливості – дати письмові рекомендації, зробити записи в медичній документації.

 

6.2. Підготовка пацієнта до рентгенологічного дослідження кишківника (іригоскопії)

Попередня підготовка

1. Привітатися та познайомитися з пацієнтом, пояснити мету дослідження, отримати згоду на проведення.

2. Пояснити пацієнту особливості дієти протягом 2–3 днів до обстеження: з харчового раціону потрібно вилучити чорний хліб, молоко, бобові, капусту, солодощі, тобто ті продукти, які спричиняють метеоризм і дають велику кількість шлаків.

3. Для зменшення метеоризму протягом трьох днів пацієнт приймає по 2 таблетки карболену тричі на день або теплий відвар ромашки (200–250 г протягом дня). Відвар ромашки готують так: 1 столову ложку сухої ромашки заварюють однією склянкою окропу і настоюють протягом 30 хв, проціджують.

4. Якщо у пацієнта наявний стійкий закреп, протягом трьох днів він має приймати проносне (екстракт крушини, ревінь). Запам’ятайте! Для очищення кишок сольові проносні не призначають, тому що вони подразнюють слизову оболонку кишок і сприяють розвитку метеоризму.

5. Дати пацієнту рекомендації щодо виконання ранкової гімнастики, навчити його робити масаж живота у разі стійких закрепів.

6. Попередити пацієнта, що за добу до обстеження він має припинити прийом медикаментів, які знижують тонус і перистальтику кишок (атропіну сульфат, папаверину гідрохлорид тощо).

7. Напередодні дослідження після обіду дати пацієнту прийняти всередину 30–40 г рицинової олії.

8. Останній прийом легкої низькокалорійної їжі має бути не пізніше 18-ї години. На ніч порекомендувати випити склянку кефіру.

9. На ніч товстий кишківник промити за допомогою очисних клізм до чистої води. Клізми робити з проміжком 30–40 хв.

10. Вранці за 2,5–3 години до обстеження дати пацієнту легкий сніданок, щоб викликати рефлекторне переміщення вмісту з тонкої кишки в товсту.

11. Через 30 хв після сніданку зробити одну очисну клізму, ще через 30 хв – другу.

12. При ознаках метеоризму за 30–40 хв до обстеження ввести пацієнту газовивідну трубку, яку видалити перед тим, як він піде в рентгенологічний кабінет.

13. З’ясувати у пацієнта, чи він зрозумів підготовку до процедури, за можливості – дати письмові рекомендації.

Основні етапи виконання

1. Амбулаторному пацієнту з’явитися в рентгенологічний кабінет в призначений день і час з направленням та амбулаторною картою для запису результатів дослідження.

2. Стаціонарному пацієнту з’явитися в рентгенологічний кабінет у супроводі медичної сестри відділення, яка відносить медичну карту стаціонарного хворого сама.

3. У рентгенологічному кабінеті за допомогою клізми ввести пацієнтові барієву суміш. Контрастну суміш підготувати з розрахунку 200–300 г сульфату барію на 1–1,5 л теплої води. Для кращого вивчення рельєфу слизової оболонки товстої кишки до барієвої суміші додати танін (10 г на 1 л води).

4. Після цього лікар проводить рентгенологічне дослідження кишківника.

Заключний етап: медична сестра проводить дезінфекцію використаного обладнання для клізм згідно з інструкцією. Знімає рукавички, миє руки, осушує їх одноразовим рушником, обробляє антисептиком. Робить запис у відповідній медичній документації.

 

6.3. Підготовка пацієнта до рентгенологічного дослідження нирок і сечовивідних шляхів (екскреторної урографії)

Попередня підготовка

1. Привітатися та познайомитися з пацієнтом, пояснити мету дослідження, отримати згоду на проведення.

2. Пояснити пацієнту особливості дієти протягом 2–3 днів до обстеження: з харчового раціону потрібно вилучити чорний хліб, молоко, бобові, капусту, солодощі, тобто ті продукти, які спричиняють метеоризм і дають велику кількість шлаків.

3. Для зменшення метеоризму протягом трьох днів пацієнт приймає по 2 таблетки карболену тричі на день або теплий відвар ромашки (200–250 г протягом дня). Відвар ромашки готують так: 1 столову ложку сухої ромашки заварюють однією склянкою окропу і настоюють протягом 30 хв, проціджують.

4. Якщо у пацієнта наявний стійкий закреп, протягом трьох днів він має приймати проносне (екстракт крушини, ревінь). Запам’ятайте! Для очищення кишок сольові проносні не призначають, тому що вони подразнюють слизову оболонку кишок і сприяють розвитку метеоризму.

5. Дати пацієнту рекомендації щодо виконання ранкової гімнастики, навчити його робити масаж живота у разі стійких закрепів.

6. Попередити пацієнта, що за добу до обстеження він має припинити прийом медикаментів, які знижують тонус і перистальтику кишок (атропіну сульфат, папаверину гідрохлорид тощо).

7. Напередодні дослідження після обіду дати пацієнту прийняти всередину 30–40 г рицинової олії.

8. Останній прийом легкої низькокалорійної їжі має бути не пізніше 18-ї години. На ніч порекомендувати випити склянку кефіру.

9. На ніч товстий кишківник промити за допомогою очисних клізм до чистої води. Клізми робити з проміжком 30–40 хв.

10. Вранці за 2,5–3 години до обстеження дати пацієнту легкий сніданок, щоб викликати рефлекторне переміщення вмісту з тонкої кишки в товсту.

11. Через 30 хв після сніданку зробити одну очисну клізму, ще через 30 хв – другу.

12. При ознаках метеоризму за 30–40 хв до обстеження ввести пацієнту газовивідну трубку, яку видалити перед тим, як він піде в рентгенологічний кабінет.

13. За 2–3 дні до обстеження, за призначенням лікаря, пацієнту зробити внутрішньовенну пробу на індивідуальну чутливість до йодовмісних препаратів (тріомбрасту, верографіну). Із тест-ампули набрати в шприц 1 мл контрастної речовини, дуже повільно ввести пацієнту внутрішньовенно. За відсутності тест-ампули набрати 1 мл контрастної речовини із 20-ти мілілітрової ампули (за 2–3 години до обстеження ) і ввести пацієнту внутрішньовенно. Залишок препарату в ампулі закрити стерильною марлевою серветкою. За появи ознак йодизму (свербіж шкіри, висипання, нежить, набряки, підвищення температури тіла, тахікардія, загальна слабкість) негайно повідомити лікаря.

14. З’ясувати у пацієнта, чи він зрозумів підготовку до процедури, за можливості – дати письмові рекомендації.

Основні етапи виконання:

1. За відсутності ознак йодизму безпосередньо перед обстеженням ввести пацієнту внутрішньовенно 20–60 мл контрастної речовини. Введення має бути дуже повільним. Під час введення медична сестра постійно спостерігає за станом пацієнта.

2. Після цього лікар проводить рентгенологічне дослідження нирок та сечовивідних шляхів.

Заключний етап: медична сестра проводить дезінфекцію використаного обладнання згідно з інструкцією. Знімає рукавички, миє руки, осушує їх одноразовим рушником, обробляє антисептиком. Робить запис у відповідній медичній документації.

 

Практичний навик 7. Підготовка пацієнта до ендоскопічних методів дослідження

7.1. Підготовка пацієнта до бронхоскопії

Попередня підготовка

1. Привітатися та познайомитися з пацієнтом, пояснити мету дослідження, отримати згоду на проведення.

2. За призначенням лікаря у разі вираженого неспокою пацієнта, порекомендувати йому прийняти на ніч та вранці за 1–1,5 год до початку дослідження препарат, який має заспокійливу дію. На ніч прийняти препарат, який має снодійну дію. Переконатися, що у пацієнта відсутня підвищена чутливість організму до анестетиків (дікаїну, лідокаїну, новокаїну), для чого слід уважно зібрати алергологічний анамнез і провести скарифікаційну пробу на чутливість організму до цих препаратів. Попередити, що процедуру необхідно проводити натще.

3. Вранці в день обстеження пацієнт повинен відвідати санвузол (бажано спорожнити кишківник, а безпосередньо перед процедурою – сечовий міхур).

Основні етапи виконання навику

1. Провести психологічну підготовку пацієнта до процедури. Він має зрозуміти характер відчуттів, які бувають під час дослідження.

2. Вимити руки під проточною водою, двічі намилюючи їх милом, висушити одноразовим рушником;

-  одягнути стерильну маску;

-  обробити руки антисептиком за стандартною методикою, одягнути стерильні рукавички.

3. Накрити стерильний лоток.

4. За 30 хв до початку дослідження пацієнту провести місцеве знеболення. Пацієнту з хронічним обструктивним бронхітом або бронхіальною астмою за призначенням лікаря за 30–40 хв до бронхоскопії ввести препарати, що сприяють розширенню бронхів.

5. Запропонувати пацієнту сісти у стоматологічне крісло, голову трохи відхилити назад, потилицю притиснути до валика крісла. Руки розмістити на стегнах (таке положення дає можливість розслабити м’язи шиї і плечового пояса, що полегшує введення бронхоскопа).

6. Пацієнта слід попередити, що під час процедури не слід втягувати голову, вигинати груди вперед, тому що це заважатиме введенню бронхоскопа.

7. За трансорального введення бронхоскопа (через рот і голосову щілину) дати пацієнту у праву руку стерильну марлеву серветку, запропонувати йому відкрити рот, висунути язик, обгорнути його марлевою серветкою і утримувати рукою.

8. Для проведення анестезії верхніх дихальних шляхів і голосових складок пацієнта, подати лікарю стерильний гортанний шприц, заповнений теплим 1% розчином дікаїну або 2% розчином лідокаїну.

9. Для проведення анестезії слизової оболонки трахеї та бронхів набрати в шприц 10% розчин новокаїну. При введенні бронхоскопа протягом усього періоду анестезії вливати невеликими дозами розчин анестетика в катетер або біопсійний канал фіброскопа, вголос називаючи об’єм введеного розчину в мілілітрах, тому що максимальна доза анестетиків не повинна перевищувати 10–15 мл.

10. За командою лікаря подати йому необхідні інструменти та медикаменти. Періодично (під візуальним контролем лікаря та за його командою) за допомогою шприца об’ємом 20 мл вводити через канал бронхоскопа теплий розчин фурациліну для промивання оптики.

Заключний етап: знезаразити бронхоскоп після використання згідно з інструкцією. Зняти рукавички, занурити їх у дезінфекційний розчин. Вимити і висушити руки, обробити антисептиком. Зробити запис в медичній документації.

 

7.2. Підготовка пацієнта до ЕФГДС

Попередня підготовка

1. Привітатися та познайомитися з пацієнтом, пояснити мету дослідження, отримати згоду на проведення.

2. Провести психологічну підготовку пацієнта до процедури. Він має зрозуміти характер відчуттів, які бувають під час дослідження. Пояснити, що процедуру проводять натще.

Основні етапи виконання навику

1. Вимити руки під проточною водою, двічі намилюючи їх милом, висушити одноразовим рушником;

-  одягнути стерильну маску;

-  обробити руки антисептиком за стандартною методикою, одягнути стерильні рукавички.

3. Безпосередньо перед процедурою запропонувати пацієнту за наявності зубних змінних протезів вийняти їх, розстебнути стискаючий одяг.

4. Здійснити анестезію слизової оболонки ротоглотки 2% розчином тримекаїну шляхом зрошення (можна лідокаїном, дікаїном або новокаїном).

5. Попросити пацієнта лягти на лівий бік з витягнутою лівою ногою, праву ногу зігнути у колінному та кульшовому суглобах. Під голову пацієнта підкласти валик, підстелити одноразову пелюшку, яку потім використовувати для протирання обличчя пацієнта, а також гастроскопа в момент його видалення; запропонувати пацієнту руки зафіксувати таким чином, щоб вони не заважали лікарю виконувати дослідження. Пацієнт повинен спокійно лежати, рівномірно дихати, не ковтати слину і не розмовляти під час проведення процедури.

6. Медична сестра при проведенні дослідження:

- фіксує голову пацієнта в такому положенні, щоб глотка та стравохід утворювали пряму лінію;

- правильно розташовує ротоблокатор (загубник) у ротовій порожнині пацієнта, просить зафіксувати його зубами;

- спостерігає за загальним станом пацієнта, оцінює колір шкірних покривів, частоту пульсу, слідкує за правильністю положення пацієнта на гастроскопічному столі;

- пальпує живіт для виведення в поле зору і в зручну позицію відповідних відділів шлунка;

- допомагає лікареві вводити ендоскоп і проводити його в шлунок та дванадцятипалу кишку;

- переміщує відповідно до команди лікаря ендоскоп вгору–вниз, тримаючись за його гнучку частину;

- фіксує ендоскоп у потрібній позиції;

- бере участь у проведенні біопсії та лікувальних втручань;

7. Після проведення процедури порекомендувати пацієнту 3–5 хв спокійно полежати. Піднімаючись, не робити різких рухів.

8. Заборонити пацієнту протягом однієї–двох годин приймати їжу. Якщо пацієнтові здійснювали біопсію, то протягом доби йому не можна приймати гарячу їжу.

Заключний етап: знезаразити гастроскоп після використання згідно з інструкцією. Зняти рукавички, занурити їх у дезінфекційний розчин. Вимити і висушити руки, обробити антисептиком. 

 

7.3. Підготовка пацієнта до колоноскопії

Попередня підготовка.

1. Привітатися та познайомитися з пацієнтом, пояснити мету дослідження, отримати згоду на проведення.

2. Пояснити пацієнту особливості дієти протягом 2–3 днів до обстеження: з харчового раціону потрібно вилучити чорний хліб, молоко, бобові, капусту, солодощі, тобто ті продукти, які спричиняють метеоризм і дають велику кількість шлаків.

3. Для зменшення метеоризму протягом трьох днів пацієнт приймає по 2 таблетки карболену тричі на день або теплий відвар ромашки (200–250 г протягом дня). Відвар ромашки готують так: 1 столову ложку сухої ромашки заварюють однією склянкою окропу і настоюють протягом 30 хв, проціджують.

4. Якщо у пацієнта наявний стійкий закреп, протягом трьох днів він має приймати проносне (екстракт крушини, ревінь). Запам’ятайте! Для очищення кишок сольові проносні не призначають, тому що вони подразнюють слизову оболонку кишок і сприяють розвитку метеоризму.

5. Дати пацієнту рекомендації щодо виконання ранкової гімнастики, навчити його робити масаж живота у разі стійких закрепів.

6. Попередити пацієнта, що за добу до обстеження він повинен припинити прийом медикаментів, які знижують тонус і перистальтику кишок (атропіну сульфат, папаверину гідрохлорид тощо).

7. Напередодні дослідження після обіду дати пацієнту прийняти всередину 30–40 г рицинової олії.

8. Останній прийом легкої низькокалорійної їжі має бути не пізніше 18-ї години. На ніч порекомендувати випити склянку кефіру.

9. На ніч товстий кишківник промити за допомогою очисних клізм до чистої води. Клізми робити з проміжком 30–40 хв.

10. Вранці за 2,5–3 години до обстеження дати пацієнту легкий сніданок, щоб викликати рефлекторне переміщення вмісту з тонкої кишки в товсту.

11. Через 30 хв після сніданку зробити одну очисну клізму, ще через 30 хв – другу.

12. При ознаках метеоризму за 30–40 хв до обстеження ввести пацієнту газовивідну трубку, яку видалити перед тим, як він піде в рентгенологічний кабінет.

13. Провести психологічну підготовку пацієнта до процедури. Він має зрозуміти характер відчуттів, які бувають під час дослідження.

14. З’ясувати у пацієнта, чи він зрозумів підготовку до процедури, за можливості – дати письмові рекомендації.

Основні етапи виконання навику:

1. Вимити руки під проточною водою, двічі намилюючи їх милом, висушити одноразовим рушником;

-  одягнути стерильну маску;

-  обробити руки антисептиком за стандартною методикою, одягнути стерильні рукавички.

2. За призначенням лікаря за 15–20 хв до дослідження пацієнту ввести підшкірно 1 мл 0,1% розчину атропіну сульфату, внутрішньом’язово – 2 мл 50% розчину анальгіну.

3. Попросити пацієнта лягти на лівий бік з підведеними до живота ногами.

4. Лікар проводить дослідження, під час якого медична сестра спостерігає за станом пацієнта. Після подолання ректосигмоїдального відділу товстої кишки попросити пацієнта повернутися на спину і зберігати таке положення до кінця процедури.

5. Після проведення процедури порекомендувати пацієнту декілька хвилин спокійно полежати, піднімаючись з кушетки не робити різких рухів.

Заключний етап: знезаразити колоноскоп після використання згідно з інструкцією. Зняти рукавички, занурити їх у дезінфекційний розчин. Вимити і висушити руки, обробити антисептиком.

 

7.4. Підготовка пацієнта до ректороманоскопії

Попередня підготовка

1. Привітатися та познайомитися з пацієнтом, пояснити мету дослідження, отримати згоду на проведення.

2. Пояснити пацієнту особливості дієти протягом 2–3 днів до обстеження: з харчового раціону потрібно вилучити чорний хліб, молоко, бобові, капусту, солодощі, тобто ті продукти, які спричиняють метеоризм і дають велику кількість шлаків. Для зменшення метеоризму протягом трьох днів пацієнт приймає по 2 таблетки карболену тричі на день або теплий відвар ромашки (200–250 г протягом дня). Відвар ромашки готують так: 1 столову ложку сухої ромашки заварюють однією склянкою окропу і настоюють протягом 30 хв, проціджують.

3. Якщо у пацієнта наявний стійкий закреп, протягом трьох днів він має приймати проносне (екстракт крушини, ревінь). Запам’ятайте! Для очищення кишок сольові проносні не призначають, тому що вони подразнюють слизову оболонку кишок і сприяють розвитку метеоризму.

4. Дати пацієнту рекомендації щодо виконання ранкової гімнастики, навчити його робити масаж живота у разі стійких закрепів.

5. Попередити пацієнта, що за добу до обстеження він має припинити прийом медикаментів, які знижують тонус і перистальтику кишок (атропіну сульфат, папаверину гідрохлорид тощо).

6. Напередодні дослідження після обіду дати пацієнту прийняти всередину 30–40 г рицинової олії.

7. Останній прийом легкої низькокалорійної їжі має бути не пізніше 18-ї години. На ніч порекомендувати випити склянку кефіру.

8. На ніч товстий кишківник промити за допомогою очисних клізм до чистої води. Клізми робити з проміжком 30–40 хв.

9. Вранці за 2,5–3 години до обстеження дати пацієнту легкий сніданок, щоб викликати рефлекторне переміщення вмісту з тонкої кишки в товсту.

10. Через 30 хв після сніданку зробити одну очисну клізму, ще через 30 хв – другу.

11. При ознаках метеоризму за 30–40 хв до обстеження ввести пацієнту газовивідну трубку, яку видалити перед тим, як він піде в рентгенологічний кабінет.

12. Провести психологічну підготовку пацієнта до процедури. Він має зрозуміти характер відчуттів, які бувають під час дослідження.

13. З’ясувати у пацієнта, чи він зрозумів підготовку до процедури, за можливості – дати письмові рекомендації.

Основні етапи виконання навику

1. Вимити руки під проточною водою, двічі намилюючи їх милом, висушити одноразовим рушником;

-  одягнути стерильну маску;

-  обробити руки антисептиком за стандартною методикою, одягнути стерильні рукавички.

2. Допомогти пацієнту зайняти колінно-ліктьове положення: пацієнт стає на коліна на стіл для перев’язок так, щоб ступні звисали за його край, а ліктями чи плечима спирається на стіл. Інше можливе положення пацієнта: лежачи на правому боці з трохи піднятим тазом.

3. Сідниці пацієнта бажано прикрити серветкою з отвором в проекції ділянки ануса.

4. Подати лікарю ректороманоскоп на стерильному лотку.

5. Під час проведення процедури постійно спостерігати за станом пацієнта.

6. Після проведення процедури порекомендувати пацієнту декілька хвилин спокійно полежати, піднімаючись зі столу не робити різких рухів.

Заключний етап: знезаразити ректороманоскоп після використання згідно з інструкцією. Зняти рукавички, занурити їх у дезінфекційний розчин. Вимити і висушити руки, обробити антисептиком.

 

7.5. Підготовка пацієнта до цистоскопії

Попередня підготовка.

1. Привітатися та познайомитися з пацієнтом, пояснити мету дослідження, отримати згоду на проведення.

2. Провести психологічну підготовку пацієнта до процедури. Він має зрозуміти характер відчуттів, які бувають під час дослідження.

3. Провести ретельну гігієну зовнішніх статевих органів.

Основні етапи виконання навику

1. Вимити руки під проточною водою, двічі намилюючи їх милом, висушити одноразовим рушником;

-  одягнути стерильну маску;

-  обробити руки антисептиком за стандартною методикою, одягнути стерильні рукавички.

2. За призначенням лікаря ввести пацієнту внутрішньом’язово 2 мл 50% розчину анальгіну.

3. Допомогти пацієнту лягти на урологічне крісло.

4. Чоловікові голівку статевого члена обробити стерильним ватним тампоном, змоченим теплим розчином фурациліну (1:5 000) або слабким розчином калію перманганату. Жінці здійснити туалет зовнішніх статевих органів розчином фурациліну (1:5 000) або слабким розчином калію перманганату.

5. Стерильний цистоскоп частково змастити теплим стерильним гліцерином.

6. Подати лікарю підготовлений стерильний лоток.

7. Обкласти стерильною пелюшкою ділянку навколо уретри.

8. Під час проведення процедури постійно спостерігати за станом пацієнта.

Заключний етап: знезаразити цистоскоп після використання згідно з інструкцією. Зняти рукавички, занурити їх у дезінфекційний розчин. Вимити і висушити руки, обробити антисептиком.

 


Практичний навик 8. Підготовка пацієнта та проведення внутрішньошлункової рН-метрії

Попередня підготовка

1. Привітатися з пацієнтом, з՚ясувати прізвище, представитись.

2. Запропонувати сісти на стілець.

3. Провести бесіду про мету процедури, переконати пацієнта в тому, що її виконання необхідне для встановлення діагнозу захворювання і для вибору правильної тактики лікування.

4. Запевнити пацієнта в тому, що стерильність буде дотримана (інфекційна безпека пацієнта).

5. Дати змогу пацієнтові висловити занепокоєння, сумніви, страх, детально відповісти на всі його запитання.

6. Отримати згоду на проведення процедури.

7. У випадку відмови пацієнта з՚ясувати у лікаря подальшу тактику, у разі згоди, проінформувати пацієнта про правила підготовки:

- за 48 год до дослідження не можна вживати вісмутзберігаючі препарати (вікалін, вікаїр, де-нол), оскільки мікрозонд у разі контакту з ними стає непридатним до використання;

- за 24 год до дослідження необхідно виключити вживання чи введення фармакопрепаратів, особливо блокаторів Н+, К+, АТФ-ази (омепразол, лансопрозол), блокаторів Н2 рецепторів (ранітидин, фамотидин), М-холінолітиків (атропін, гастроцепін), антацидів та ін;

- напередодні, не пізніше 18-ої год – легка вечеря без вживання кислої та грубої їжі;

- вранці наступного дня з’явитися в кабінет зондування натще: не можна пити, їсти, курити; принести з собою рушник.

8. Підготувати мікрозонди:

- важливим етапом підготовчої роботи є кваліфікована градуїровка мікрозондів, яку здійснюють у буферних розчинах, виготовлених зі стандарт-титрів, що мають фіксоване значення рН, а саме 1,68; 4,01; 6,86.

Основні етапи виконання навику

1. Привітатися з пацієнтом, запропонувати сісти на стілець.

2. З’ясувати, чи пацієнт виконав рекомендації дані напередодні, оскільки від проведеної підготовки залежить успіх процедури.

3. У доступній формі пояснити послідовність рН-метрії, заспокоїти пацієнта.

4. Вимити руки під проточною водою, двічі намилюючи їх милом, висушити одноразовим рушником, обробити антисептиком за стандартною методикою.

5. На шкіру тильної поверхні нижньої третини передпліччя покласти серветку з марлі, змочену насиченим розчином хлориду калію, на неї – допоміжний електрод, який зафіксувати до руки пацієнта ремінцем. Попередити пацієнта, що під час зондування він не повинен розмовляти (профілактика попадання зонду в трахею), глибоко дихати (уповільнення нудоти та блювотного рефлексу).

6. Обробити руки шкірним антисептиком, надягнути стерильні рукавички.

7. Запропонувати пацієнту трохи нахилити голову вперед, відкрити рот. Правою рукою наблизити фіксатор-слиновідвід з мікрозондом до ротової порожнини пацієнта і під візуальним контролем просувати зонд по середній борозді язика за його корінь і далі по задній стінці глотки в дистальному напрямку. Розмістити фіксатор-слиновідвід у ротовій порожнині між зубами і попросити пацієнта закрити рот. Надалі (до кінця обстеження) фіксатор утримувати губами.

8. Запропонувати пацієнту ковтати мікрозонд.

9. Під час введеня зонда на глибину 15 см підтягнути мандрен назовні на 10 см. Це забезпечує більшу еластичність зонда, полегшує його введення.

10. Потім мандрен увести до упору, цим самим збільшуючи жорсткість зонда, що важливо на рівні стравохідно-шлункового переходу, кардіального і субкардіального відділів шлунка (глибина введення 40–45 см).

11. Після цього знову вийняти мандрен назовні на 10 см, що збільшує еластичність зонда і полегшує його просування до виходу зі шлунка.

12. Приєднати зонд до вимірювального приладу (йонометр універсальний) і реєструвати рН за шкалою йонометра на глибині 40 см (на рівні переходу стравоходу в шлунок у більшості дорослих пацієнтів).

13. Вимірювати рН через кожний 1 см по всій протяжності шлунка від входу до виходу (від 40 до 60 см), реєструвати рН за шкалою йонометра.

14. Експрес-методика внутрішньошлункового рН-моніторингу потребує як введення, так і виведення мікрозонда по всій протяжності шлунка, тому далі при повільному витягуванні зонда через кожний 1 см реєструвати рН (до початкової глибини введення зонда – 40 см).

15. При комп’ютерному відображенні результатів базальної рН-метрії по всій протяжності шлунка потрібно орієнтуватися в термінах рН-моніторингу:

рН понад 6,0 – анацидність;

рН 2,1–5,9 – гіпоацидність;

рН 1,6–2,0 – нормоцидність;

рН 1,2–1,5 – гіперанидність.

Заключний етап: вийняти зонд і фіксатор. Провести дезінфекцію і серилізацію згідно з інструкцією. Зняти рукавички, вимити і висушити руки. Зробити відмітку про виконання процедури та реакцію пацієнта на неї у відповідній медичній документації.

 

Практичний навик 9. Підготовка пацієнта та проведення дуоденального зондування (трифазне)

Попередня підготовка

1. Привітатися з пацієнтом, з՚ясувати прізвище, представитись.

2. Провести бесіду про мету процедури, переконати пацієнта в тому, що її проведення необхідне для встановлення діагнозу захворювання і для вибору правильної тактики лікування.

3. Запевнити пацієнта в тому, що стерильність буде дотримана (інфекційна безпека пацієнта).

4. Дати змогу пацієнтові висловити занепокоєння, сумніви, страх, детально відповісти на всі його запитання.

5. Отримати згоду на проведення процедури.

6. У випадку відмови пацієнта з’ясувати у лікаря подальшу тактику, у разі згоди, поінформувати пацієнта про правила підготовки:

- за 2–3 дні до обстеження необхідно виключити з харчового раціону продукти, що сприяють виникненню метеоризму; бобові, капусту, картоплю, чорний хліб, молоко, солодощі;

- напередодні, не пізніше 18-ї години, повечеряти обмеженою кількістю їжі;

- трохи пізніше вжити 10 крапель 0,1% розчину атропіну сульфату в невеликій кількості води; безпосередньо перед сном з’їсти столову ложку меду;

- лягти у ліжко, покласти грілку біля правого підребер’я для покращення відходження жовчі; з’явитися в кабінет зондування уранці натще і принести з собою рушник та направлення на дослідження.

Основні етапи виконання навику

1. У день дослідження: привітатися з пацієнтом, запропонувати сісти на кушетку.

2. З’ясувати, чи пацієнт виконав рекомендації дані напередодні, оскільки від проведеної підготовки залежить успіх зондування.

3. У доступній формі пояснити послідовність проведення процедури.

4. Заспокоїти пацієнта, попростити розстебнути стискаючий одяг. За наявності знімних зубних протезів запропонувати пацієнту їх вийняти.

5. Вимити і висушити руки одноразовим рушником.

6. Надягнути фартух, маску. Руки обробити шкірним антисептиком за стандартною методикою, надягнути стерильні рукавички.

7. Стерильний дуоденальний зонд одноразового використання звільнити від упаковки (за загальноприйнятими правилами).

8. Взяти стерильний зонд за обидва кінці у вертикальному положенні, виміряти у пацієнта відстань від різців до пупка і другу відстань – від різців до мочки вуха. На дуоденальному зонді є позначки: на відстані 45 см (відповідає відстані від різців до кардіальної частини шлунка); на відстані 70 см (відповідає відстані до воротаря шлунка); на відстані 80 см (відповідає відстані до соска Фатера дванадцятипалої кишки).

9. Запропонувати пацієнту накрити рушником шию та груди, в руки взяти ниркоподібний лоток (для збирання витікаючої слини). Пояснити, що дихати під час уведення зонда треба носом.

10. Взяти правою рукою зонд на відстані 10–15 см від оливи, змочити у теплій перевареній воді. Лівою рукою підтримувати вільний кінець зонда, перекритий затискачем.

11. Попросити пацієнта відкрити рот, покласти оливу на корінь язика, попросити закрити рот і проковтнути оливу. Глибоко дихати носом. Одночасно з ковтками вводити зонд у глотку. У разі появи позивів до блювання порадити пацієнту припинити ковтання, затиснути зонд губами і затримати дихання. У разі постійних позивів до блювання піднести до носа вату, змочену нашатирним спиртом (як відволікаючий засіб). У разі надмірної чутливості входу в глотку необхідно зів і глотку змастити розчином лідокаїну.

12. Якщо в момент уведення зонда в пацієнта виникає кашель, зонд негайно вийняти, а потім коли пацієнт заспокоїться увести повторно.

13. Ковтати зонд повільно, щоб він не скрутився.

14. Коли зонд досягне шлунка (це відповідає першій позначці на зонді), перевірити його місцезнаходження. Для цього приєднати до вільного кінця зонда шприц об’ємом 20 мл, зняти затискач і відтягнути поршень на себе. Якщо під час аспірації в шприц надходить вміст світлого кольору з кислою реакцією (змочений синій лакмусовий папірець червоніє) це означає, що зонд знаходиться у шлунку. Якщо під час відтягування поршня шприца шлунковий вміст не надходить (можливо зонд скрутився), необхідно трохи витягнути його і попросити заковтнути ще раз.

15. Запропонувати пацієнту повільно ходити по кабінету і протягом 20–30 хв ковтати зонд до другої позначки.

16. Запропонувати пацієнту лягти на кушетку на спину і через зонд за допомогою шприца ввести 10 см3 повітря, перевіряючи місце його знаходження. Якщо пацієнт відчуває поштовх у правому підребер’ї, це означає, що олива знаходиться у дванадцятипалій кишці. Якщо пацієнт відчуває поштовх у надчеревній ділянці, це означає, що зонд скрутився і знаходиться в шлунку. У такому разі відтягнути зонд до першої позначки і запропонувати пацієнту знову ковтати зонд до другої позначки.

17. Після потрапляння зонда в дванадцятипалу кишку запропонувати пацієнту лягти на правий бік без подушки, під голову підстелити рушник, під таз покласти валик, а під праве підребер’я – теплу грілку. Нижню ногу зігнути трохи в колінному суглобі і підтягнути до живота. У такому положення пацієнт продовжує повільно ковтати зонд до третьої мітки.

18. Нижче від рівня розташування пацієнта на спеціальній підставці встановити штатив з пробірками, лоток і циліндр шприца об’ємом 50 мл.

Опустити вільний кінець зонда у флакон або банку з прозорого скла. Спостерігати за кольором рідини, що самостійно виділяється. Якщо вона світлого кольору, кислої реакції – це шлунковий вміст, який для дослідження не потрібен. Як тільки почне виділятися прозора рідина світло-жовтого кольору лужної реакції – переставити зонд у пробірку. За 20–30 хв виділяється близько 20–40 мл першої порції (А) – вмісту дванадцятипалої кишки. У склад дуоденальної порції входить сік дванадцятипалої кишки, сік підшлункової залози та жовч.

19. Для одержання порції В (міхурової жовчі) запропонувати пацієнтові лягти на спину, до зовнішнього кінця зонда прикріпити циліндр шприца і ввести один, із стимуляторів виділення жовчі, підігрітий до температури 30-40° С. Накласти затискач на зонд (або зонд зав'язати) на 7–10 хв.

20. Через 10 хв пацієнту запропонувати лягти на правий бік, відкрити зонд, опустити його в пробірку. Почне надходити густіша і в'язкіша жовч темно-оливкового кольору. У нормі вона виділяється у кількості 50–60 мл протягом 20–30 хв, У разі застійних явищ у жовчному міхурі порція В може збільшуватись і, навпаки у разі хронічного холециститу кількість жовчі цієї порції може зменшуватись. На наявність одноклітинних паразитів (лямблій, токсоплазм) жовч взяти (безпосередньо із зонда) у стерильну пробірку, яку потім закрити корком, помістити у ємкість з теплою водою і відправити до лабораторії у теплому вигляді в контейнері, оскільки під дією холоду лямблії втрачають рухи і не будуть виявлені під мікроскопом.

21. Для своєчасного виявлення порції С (печінкової жовчі) уважно стежити за кольором жовчі під час її витікання. У разі появи прозорої рідини без домішок світло-лимонного кольору перемістити зонд в іншу пробірку. За 20–30 хв виділяється 15–20 мл печінкової жовчі,

22. Після закінчення процедури запропонувати пацієнту відкрити рот, обережно вийняти зонд, протираючи серветкою. Порадити сполоснути рот.

Пронумеровані пробірки з жовчю закрити гумовими корками, разом з штативом помістити в контейнер, направлення – у спеціальне відділення контейнера або поліетиленовий пакет (згідно з вимогами санітарно- протиепідемічного режиму) і відправити до лабораторії якомога швидше у зв'язку з продовженням дії ферментів, які руйнують клітинні елементи.

Заключний етап: продезінфікувати використане оснащення згідно з інструкцією. Зняти рукавички, фартух, маску. Вимити і висушити руки, обробити антисептиком. Зробити відмітку про виконання процедури та реакцію пацієнта на неї у відповідній медичній документації.


 

СИТУАЦІЙНЕ ЗАВДАННЯ 1

Пацієнт А., 42 років, звернувся з приводу виникнення болю в правому підребер'ї (після прийому жирної їжі), нудоти, погіршення апетиту, гіркоти в роті. Оцінювання стану пацієнта медичною сестрою: загальний стан середньої важкості, шкіра суха, субіктерична. Язик з жовтуватим нальотом. Живіт м'який, болючий під час пальпації у правому підребер΄ї. Про яке захворювання можна подумати? Тактика медичної сестри в цьому випадку. Які додаткові методи обстеження необхідні для підтвердження діагнозу? Під час проведення дуоденального зондування, в якій порції будуть зміни характерні для цього захворювання?

Відповідь.

 

СИТУАЦІЙНЕ ЗАВДАННЯ 2

Пацієнт лікується з приводу хронічного коліту. Лікар призначив йому колоноскопію. В яких умовах слід провести бесіду щодо попередньої підготовки пацієнта до маніпуляції? Назвіть зміст цієї бесіди.

Відповідь.

 

СИТУАЦІЙНЕ ЗАВДАННЯ 3

У терапевтичне відділення поступив хворий Ю., 44-х років, зі скаргами на інтенсивний біль в епігастральній ділянці, який виникає через 30 – 60 хв після прийому їжі, печію, відрижку кислим, блювання на висоті болю, яке приносить полегшення, закрепи. Оцінювання стану пацієнта медичною сестрою: загальний стан задовільний. Язик обкладений білуватим нальотом. Під час пальпації живота – болючість в епігастральній зоні. Печінка не збільшена. Яке захворювання зумовлює таку картину? Яке дослідження є найінформативнішим для з՚ясування діагнозу? Які інструментальні методи дослідження відіграють роль у виникненні таких внутрішньолікарняних інфекцій, як гепатит В, С, ВІЛ?

Відповідь.

ТЕСТ

Попередня тема

На початок

Наступна тема