НМЦ

ОБСТЕЖЕННЯ ТА ОЦІНКА СТАНУ ЗДОРОВ’Я ЛЮДИНИ

Електронний підручник

 

ВФПО

6. УЧАСТЬ СЕСТРИ МЕДИЧНОЇ БАКАЛАВРА В

ОБСТЕЖЕННІ ТА ОЦІНЮВАННІ СТАНУ СЕРЦЕВО-СУДИННОЇ СИСТЕМИ

 

ІНСТРУКЦІЯ №6

ТЕОРЕТИЧНА КОНКРЕТИЗАЦІЯ ЗНАНЬ. ВІДПОВІДІ НА КОНТРОЛЬНІ ЗАПИТАННЯ

6.1. Основні скарги пацієнта у разі захворювань серцево-судинної системи. Особливості збирання анамнезу

6.2. Особливості огляду пацієнта з хворобами серцево-судинної системи. Ознаки, що виявляють при ураженні серцево-судинної системи

6.3. Пальпація грудної клітки. Можливі зміни у разі захворювань органів серцево-судинної системи

6.4. Перкусія серця. Значення для діагностики захворювань серцево-судинної системи

6.5. Аускультація серця. Функціональні й органічні шуми серця

6.6. Гіпертензивний синдром: визначення, етіологія, клінічні ознаки, ускладнення, методи діагностики

6.7. Больовий синдром у лівій половині грудної клітки

6.8. Визначення стенокардії: етіологічні чинники, механізм виникнення, класифікація, клінічні ознаки

6.9. Синдром ураження міокарда: визначення, етіологія, клінічні ознаки, методи діагностики, зміни на ЕКГ, диференційна діагностика больового синдрому при стенокардії та інфаркті міокарду

6.10. Синдром гострої недостатності кровообігу

6.11. Синдром хронічної недостатності кровообігу

ПРАКТИЧНА РОБОТА СТУДЕНТІВ ПІД КЕРІВНИЦТВОМ ВИКЛАДАЧА

Практичний навик 1. Визначення верхівкового поштовху

Практичний навик 2. Визначення систолічного і діастолічного тремтіння («котячого муркотіння»)

Практичний навик 3. Визначення артеріального пульсу на променевій артерії

Практичний навик 4. Вимірювання артеріального тиску на плечовій артерії

Практичний навик 5. Проведення аускультації серця

 

ТЕОРЕТИЧНА КОНКРЕТИЗАЦІЯ ЗНАНЬ. ВІДПОВІДІ НА КОНТРОЛЬНІ ЗАПИТАННЯ

6.1. Основні скарги пацієнта у разі захворювань серцево-судинної системи. Особливості збирання анамнезу

Основними скаргами у разі захворювань серцево-судинної системи є: біль у ділянці серця, серцебиття, перебої в роботі серця, набряки, задишка, кровохаркання, головний біль.

Додаткові скарги: загальна слабкість, підвищена втомлюваність, температура тіла, запаморочення тощо.

З’ясовуючи анамнез захворювання медична сестра-бакалавр має звернути увагу на тривалість перебігу хвороби, послідовність виникнення симптомів, вивчити виписки з медичної карти стаціонарного хворого, копії результатів різних досліджень, з'ясувати, яке лікування отримував хворий і який був ефект від нього.

Анамнез життя. З'ясувати перенесені захворювання (ангіна, ревматизм), наявність стресів, професійних шкідливостей, шкідливих звичок тощо.

 

6.2. Особливості огляду пацієнта з хворобами серцево-судинної системи. Ознаки, що виявляють при ураженні серцево-судинної системи

Медична сетра-бакалавр проводить загальний огляд та оглядає ділянки серця і великих судин.

Під час загального огляду слід звертати увагу на положення хворого у ліжку: за наявності задишки – напівсидячи, у разі перикардиту – хворий сидить, нахилившись вперед. За аотральних вад шкіра бліда, за мітральнихціанотична. Огляд ділянки серця дає змогу виявити серцевий горб, що свідчить про розвиток серцево-судинної патології в дитинстві, візуальний верхівковий поштовх спостерігають за астенії, згладженість і випинання міжреберних проміжків – за перикардиту.

Огляд периферійних судин дає змогу виявити пульсацію сонних артерій та симптом Мюссе (похитування голови) у разі недостатності аортального клапана.

 

6.3. Пальпація грудної клітки. Можливі зміни у разі захворювань органів серцево-судинної системи

Пальпацією визначають властивості пульсу (частоту, ритм, напруження, наповнення, дефіцит пульсу), верхівковий поштовх (площу, висоту, силу, частоту серцевих скорочень, резистентність, локалізацію), «котяче муркотіння» при звуженій аорті, шум тертя перикарда

 

 

browser does not support the video tag.

Пальпація грудної клітки

https://www.youtube.com/watch?v=sYkpiYNv4FU

 

Визначають загруднинну пульсацію – за нахиленої голови хворого в яремну ямку прикладають палець. Може відчуватись пульсація аорти, що свідчить про її розширення.

 

6.4. Перкусія серця. Значення для діагностики захворювань серцево-судинної системи

Перкусією грудної клітки визначають межі серця

 

browser does not support the video tag.

Перкусія серця

https://www.youtube.com/watch?v=sYkpiYNv4FU

 

Для визначення меж абсолютної тупості серця наносять слабкі удари, для виявлення відносної тупості – більш сильні удари (відео Пальпація грудної клітки).

Перкусія та аускультація серця в нормі:

а) межі відносної та абсолютної серцевої тупості в нормі (таблиця 1);

б) проєкції клапанів серця на грудну стінку і точки їх вислуховування (мал. 1):

Таблиця 1

Перкусія серця

Границі

Відносної тупості

Абсолютної тупості

Ліва

По серединно-ключичній лінії в 5 міжребер’ї

По серединно-ключичній лінії в 4 міжребер’ї

Верхня

ІІІ ребро

Верхній край 4 ребра

Права

4 міжребер’я на 1,5 см назовні від правого краю груднини

У 4 міжребер’ї по лівому краю груднини

Судинний пучок

 

9 см

 

скелет

Мал. 1. Точки аускультації (прослуховування) серця

 

6.5. Аускультація серця. Функціональні й органічні шуми серця

Аускультацію (прослуховування) серця проводять у певних точках

 

browser does not support the video tag.

Аускультація серця

https://www.youtube.com/watch?v=sYkpiYNv4FU

 

1-а – точка верхівкового поштовху (проєкція лівого атріовентрикулярного отвору, вислуховується мітральний клапан);

2-а – точка в II міжребер’ї безпосередньо у правого краю груднини (вислуховуються клапани аорти і гирла аорти);

3-а – точка в II міжребер’ї безпосередньо у лівого краю груднини (вислуховуються клапани легеневої артерії);

4-а – нижня третина груднини у основи мечоподібного відростка і місця прикріплення V ребра до правого краю груднини (проєкція правого атріовентрикулярного отвору, вислуховується тристулковий клапан);

5-а – на рівні III міжребір’я у лівого краю груднини (додаткова точка вислухування аортальних клапанів).

У разі аускультації вислуховуються І і ІІ тони серця. При захворюваннях можуть виникати зміни цих тонів серця: послаблення (дистрофія серцевого м'язу, наявність рідини в перикарді, колапс) посилення (фізичне навантаження, хвилювання, тиреотоксикоз, вживання міцної кави, чаю).

Можуть прослуховуватись шуми в ділянці серця – систолічний, діастолічний, шум тертя перикарда.

 

Таблиця 2

Диференціальні ознаки органічних та функціональних шумів

Ознака

Органічний шум

Функціональний шум

Фаза виникнення

Систолічний або діастолічний

Систолічний

Характер шуму

Грубий

Ніжний

Тривалість

Тривалий

Короткий

Проведення шуму

Проводиться

Не проводиться

Точки вислуховування

Усі точки

В основному на верхівці серця

 

6.6. Гіпертензивний синдром: визначення, етіологія, клінічні ознаки, ускладнення, методи діагностики

Артеріальна гіпертензія (АГ) – синдром стійкого підвищення артеріального тиску, коли систолічний тиск дорівнює чи вищий 140 мм. рт. ст., а діастолічний дорівнює чи перевищує 90 мм. рт. ст. Розрізняють первинну, або есенціальну АГ – при якій АТ підвищений і відсутні явні причини для його підвищення (80–90%); вторинну, або симптоматичну АГ, яка зустрічається у разі різних захворювань: ендокринних, нирок, серцево-судинних, пухлинах мозку тощо (10–20%). При всіх цих хворобах підвищення артеріального тиску є лише симптомом. Існує поняття – ізольована систолічна гіпертензія (ІСГ), яка характеризує всіх пацієнтів з систолічним артеріальним тиском (САТ) ≥ 140 мм рт.ст. і діастолічним артеріальним тиском (ДАТ) ≥ 90 мм рт.ст. і найчастіше зустрічається в похилому віці.

 

Таблиця 3

 

Класифікація артеріальних гіпертензій за ураженням органів-мішеней

Стадії

Клінічна характеристика

І

Проблеми часто відсутні. Можуть бути непостійні головні болі, запаморочення.

Об’єктивні ознаки органічного ураження органів-мішеней відсутні.

ІІ

 

 

 

 

 

 

 

ІІІ

Проблеми: головні болі, запаморочення, миготіння мушок перед очима, розлади сну, задишка, серцебиття, іноді біль у ділянці серця. Наявні об’єктивні ознаки ураження органів – мішеней без симптомів чи порушень їх функції: гіпертрофія лівого шлуночка (за даними ЕКГ, ЕхоКГ, рентгенографії), чи генералізоване звуження артерій сітківки, чи мікроальбумінемія чи протеїнурія і/чи невелике збільшення креатиніну в плазмі крові (до 177 мкмоль/л).

Проблеми: головні болі, запаморочення, біль у ділянці серця, задишка, напади ядухи. Наявні об’єктивні ознаки органічного ураження органів-мішеней з симптомами і порушеннями їх функції: серце – інфаркт міокарда, хронічна серцева недостатність; мозок – інсульт (ішемічний, геморагічний), транзиторна ішемічна атака, гостра гіпертензивна енцефалопатія, хронічна гіпертензивна енцефалопатія ІІІ ст., судинна деменція; очне дно – крововиливи і ексудати в сітківці з набряком диску зорового нерва чи без нього; нирки – концентрація креатиніну в плазмі вища 177 мкмоль/л; судини – розшаровуюча аневризма аорти.

 

Клінічні ознаки артеріальних гіпертензій

Частіше є загальна слабкість, шум у голові і вухах, шаткість ходи, головокружіння, задишка під час фізичного навантаження, яке раніше було звичним, головні болі. Одночасно в таких пацієнтів можуть спостерігатись тяжкі функціональні порушення в низці органів і систем, особливо в серцево-судинній, нирках, центральній нервовій системі. У результаті атеросклерозу глибокі зміни судинної стінки обумовлюють розвиток недостатності мозкового, коронарного кровообігу, кровопостачання нирок.

Під час об’єктивного обстеження виявляють напружений пульс, інколи «танець каротид», симптом Мюссі, великий пульсовий тиск. З боку серця – збільшення лівої межі, під час аускультації у більшості пацієнтів – І тон приглушений, акцент ІІ тону на аорті, може бути систолічний шум на верхівці й над аортою. Всі ці фізикальні данні можуть бути пов’язані не тільки з ІСГ, а й з атеросклерозом коронарних артерій, атеросклеротичним ураженням мітрального і аортального клапанів, атеросклерозом аорти.

Ускладнення артеріальних гіпертензій. Артеріальні кризи: виникають в 30% випадків.

Гіпертензивний криз – раптове підвищення АТ, що супроводжується поглибленням або виникненням нових ознак порушення мозкового або коронарного кровообігу з розвитком нейро-судинних і гуморальних змін і пов’язано із різким збудженням симпатико-адреналової системи.

Кардіальні ускладнення:

- гостра або хронічна серцева недостатність;

- прискорений розвиток атеросклерозу вінцевих судин із симптомами стенокардії або інфаркту міокарда;

- аритмії/блокади (частіше лівої ніжки пучка Гіса).

Аортальні:

- атеросклероз;

- розшаровуюча аневризма.

Церебральні:

- прискорений розвиток атеросклерозу мозкових судин з розвитком недостатності мозкового кровообігу (енцефалопатії);

- динамічні та органічні порушення мозкового кровообігу

Очні:

- крововиливи в сітківку з наступним її відшаруванням;

- зниження зору (набряк зорового нерва);

- амавроз.

Обов’язковими дослідженнями у хворих з АГ є:

1. Загальний аналіз крові і сечі за Нечипоренком та Зимницьким, біохімічний аналіз крові. Вони в початковій стадії залишаються без змін, під час кризу – лейкоцитоз, дисгіперліпідемія, гіперкаліємія, збільшення креатиніну і сечовини (транзиторні). За ІІІ стадії АГ зміни стабільні, наростає азотемія.

Дослідження сечі за Зимницьким у разі ІІ–ІІІ стадій АГ – ізогіпостенурія, ніктурія. Обов’язково необхідно визначати кліренс за ендогенним креатиніном.

2. ЕКГ, Ехо-КГ. Зміни на ЕКГ: І стадія АГ – змін немає, ІІ – ІІІ стадія – ознаки гіпертрофії лівого шлуночка, електрична вісь серця відхилена вліво, Rv5-6>Rv4, коритоподібне зміщення ST, двохфазний Т (±). Збільшення амплітуди R в лівих відведеннях і S – в правих.

3. УЗД нирок.

4. Ro-графія органів грудної клітки;

5. Дослідження очного дна.

Інші методи діагностики проводять за показаннями.

 

6.7. Больовий синдром у лівій половині грудної клітки

Причинами больового синдрому у лівій половині грудної клітки можуть бути такі захворювання і патологічні синдроми:

з боку серця:

- стенокардія;

- інфаркт міокарда;

- міокардит;

- перикардит (біль супроводжується шумом тертя перикарда, виникає одночасно з підвищенням температури тіла, лейкоцитозом, збільшенням швидкості осідання еритроцитів, відсутня іррадіація як у разі інфаркту міокарда. Його інтенсивність зменшується в положенні сидячи і в разі нахилів вперед. Під час електрокардіографічного дослідження відзначають елевацію сегмента в усіх стандартних відведеннях, зубець R збережений, зубець Q не виражений. Якщо в порожнині перикарда з’являється рідина, то діагноз підтверджують за допомогою проведення рентгенологічного та ультразвукового досліджень серця;

- вади серця, особливо аортальні;

- аневризма грудного відділу аорти (виникає біль у грудях, що іррадіює в спину, може поступово поширитися на поперекову ділянку, черевну порожнину, пахвинні ділянки, артеріальна гіпертензія, іноді запаморочення. виникає асиметрія пульсу, симптоми здавлення сусідніх органів (осиплість голосу, нападоподібний сухий кашель, дисфагія). Діагноз підтверджують під час рентгенологічного дослідження органів грудної порожнини, під час якого відзначають розширення тіні аорти та її дефігурацію);

з боку плеври, органів середостіння та легень:

- плеврит сухий, ексудативний;

- пухлини органів середостіння;

- лівобічний спонтанний пневмоторакс (больовий синдром супроводжується задишкою, артеріальною гіпотензією, ціанозом, підвищення температури тіла не відзначають. Захворювання найчастіше виникає після кашлю, натужування, різкого руху, травмування. У разі клапанного пневмотораксу стан хворого прогресивно погіршується, розвивається клінічна картина шоку (різка загальна слабкість, холодне потіння, стрімке зниження рівня артеріального тиску, тахікардія).

На боці ураження не відбувається голосове тремтіння, під час перкусії відзначається тимпанічній звук, дихальні шуми під час аускультації не прослуховуються або значно ослаблені. В анамнезі хворих можуть бути відомості про туберкульоз, абсцес, рак легені, бульозну емфізему. Діагноз встановлюють на підставі даних рентгенологічного дослідження органів грудної порожнини (просвітлення легеневих полів без судинного малюнка, біля кореня легень виявляють тінь легені, що спалася);

- тромбоемболія легеневої артерії (больовий синдром відзначається у третини пацієнтів, він супроводжується раптовою задишкою, артеріальною гіпотензією, тахікардією, ціанозом. Під час діагностики захворювання слід враховувати наявність провокуючих чинників: оперативне втручання, тривалий ліжковий режим, варикозне розширення вен нижніх кінцівок, ожиріння, похилий вік. З додаткових методів обов’язково проводять електрокардіографічне дослідження, під час якого виявляють правограмму);

- лівобічна пневмонія.

З боку грудної стінки:

- переломи та забої ребер;

- остеомієліт та пухлини кісток;

- міозит;

- оперізувальний лишай;

- радикулярний синдром (у разі хвороби Бехтєрєва, туберкульозному спондиліті).

Гострі захворювання органів черевної порожнини: можуть супроводжуватися болем у лівій половині грудної порожнини. У цьому разі зорієнтуватися в клінічній ситуації допомагає уважна пальпація органів черевної порожнини, у разі синдрому гострого живота відзначається напруження м’язів передньої черевної стінки, позитивний симптом Щоткіна-Блюмберга. У разі гострого холециститу, жовчнокам’яної хвороби спостерігають позитивні симптоми ураження жовчного міхура (болючість у точці проєкції жовчного міхура, позитивні симптоми Кера, Ортнера тощо). У разі проривної виразки шлунка та дванадцятипалої кишки під час перкусії зникає печінкова тупість. Напад печінкової коліки, гострого холециститу зазвичай пов’язані з надмірним вживанням жирної та смаженої їжі.

Причини:

- гострий гастрит;

- гострий холецистит;

- гострий панкреатит;

- напад жовчнокам’яної хвороби;

- проривна виразка шлунка та дванадцятипалої кишки;

- спазм стравоходу;

- діафрагмова грижа.

 


6.8. Визначення стенокардії: етіологічні чинники, механізм виникнення, класифікація, клінічні ознаки

Ішемічна хвороба серця (далі – ІХС) – це гостре або хронічне захворювання, яке розвивається внаслідок порушення рівноваги між потребою міокарду в кисні і його доставкою з кров’ю. Сьогодні існує таке визначення, як гострий коронарний синдром без елевації ST і з елевацією ST.

Основною причиною виникнення ІХС є атеросклероз вінцевих артерій, спазм.

Чинники ІХС. Екзогенні:

-     надмірне споживання їжі, що містить холестерин;

-     стресові ситуації;

-     куріння;

-     зловживання алкоголем;

-     гіподинамія;

-     вживання великої кількості солодощів та мучних виробів;

-     тривале користування контрацептивними гормональними препаратами;

-     вживання наркотичних засобів;

-     вік – ризик зростає після 40 років;

-      чоловіча стать;

-      артеріальна гіпертензія;

-      спадкова схильність;

-      підвищений рівень холестерину в крові;

-      цукровий діабет;

-      ожиріння;

-      особливості типів поведінки людини.

Основними чинниками ризику ІХС є артеріальна гіпертензія, гіперхолестеринемія, паління, їх називають – «велика трійка».

 

Клінічні форми ІХС

1. Раптова коронарна смерть (далі – РКС) (первинна зупинка серця).

2. Стенокардія.

2.1. Стенокардія напруження.

2.1.1. Стенокардія напруження, що виникла вперше.

2.1.2. Стабільна стенокардія напруження.

2.1.3. Прогресуюча стенокардія напруги.

2.3. Спонтанна (особлива, Принцметала) стенокардія.

3. Інфаркт міокарда (далі – ІМ).

4. Постінфарктний кардіосклероз.

5. Безбольова ішемія міокарда.

6. Порушення серцевого ритму (форма).

7. Серцева недостатність (стадія, ФК).

З’ясовуючи дані анамнезу, слід важливого значення надати тривалості й характеру болю, задишки або аритмії, зв'язку їх з фізичним навантаженням, обсягу фізичного навантаження, який пацієнт може витримати без виникнення нападу, ефективності різних лікарських засобів під час виникнення нападу (зокрема, ефективність нітрогліцерину). Важливо з'ясувати наявність факторів ризику.

Найбільш характерними скаргами при ішемічній хворобі серця є приступоподібний стискаючий (пекучий) загрудинний біль, пов'язаний з фізичним навантаженням або стресовими ситуаціями, що іррадіює у ліву руку (ліву лопатку, ліву половину шиї, нижню щелепу, інколи – у праве плече чи лопатку). Тривалість болю 5–10 хв (найчастіше – 2–5 хв), задишка, перебої в роботі серця, відчуття порушення ритму, слабкість.

Об'єктивних симптомів, характерних саме для ішемічної хвороби серця, немає. За розвитку ознак серцевої недостатності, наприклад – набряків, що починаються з нижніх кінцівок, пацієнт набуває вимушеного положення сидячи.

Будь-яка підозра на ішемічну хворобу серця вимагає виконання електрокардіографії.

 

6.9. Синдром ураження міокарда: визначення, етіологія, клінічні ознаки, методи діагностики, зміни на ЕКГ, диференційна діагностика больового синдрому при стенокардії та інфаркті міокарду

Інфаркт міокарда – це гостре захворювання, при якому розвивається некроз ділянки серцевого м'язу внаслідок раптового припинення кровотоку по вінцевій артерії. Інфаркт міокарда класифікують за:

• площею враження: крупновогнищевий, дрібновогнищевий;

• глибиною враження: трансмуральний, інтрамуральний, субепікардіальний, субендокардіальний;

• локалізацією: передня, бічна, задня стінки лівого шлуночка, міжшлуночкова перегородка, правий шлуночок;

• періодами: найгостріший, гострий, підгострий, постінфарктний.

 

Таблиця 4

Дифдіагностика стенокардії та інфаркту міокарда

Симптоми

Стенокардія

Інфаркт міокарда

Тривалість болю

До 30 хв

Понад 30 хв

Вживання нітрогліцерину для зняття болю

Знімає біль

Не знімає біль

Тони серця

Чіткі

Глухі, нерідко аритмія

Пульс

Нормальний

Аритмічний

Артеріальний тиск

Норм., або підвищений під час нападу

Знижений

Температура

У нормі

Підвищена

Лейкоцитоз

-

Присутній – на 1 тижні

Прискорення ШОЕ

-

Присутній – на 2 тижні

Міоглобін крові

-

Присутній

Трансамінази крові (КФК, АСТ, ЛДГ)

У нормі

Понад 0,6 ммоль/л

ЕКГ

Підйом ST лише в період больового нападу

У гострий період ST і T злиті в одну лінію (дуга Парді)


 

Типова форма (больова) інфаркту міокарда характеризується типовими нападами загруднинного болю, але й можуть виникати атипові форми ІМ, для яких локалізація болю в ділянці серця відсутня.

Атипові форми інфаркта міокарда: безсимптомний (безбольовий), аритмічний, гастралгічний, астматичний, церебральний.

Діагностика ІФМ:

- проба з навантаженням (тредміл тест);

- ЕКГ – непрямий метод дослідження, тобто він не показує скільки клітин міокарда загинуло, але дозволяє оцінити деякі функції міокарда (автоматизму і з деякими припущеннями – проведення);

- для інфаркту міокарда характерне підвищення концентрації специфічних білків: креатинфосфокинази (перші 4–8 годин), тропоніну – I (7–10 доба), тропоніну – Т (10–14 доба), лактатдегідрогенази, амінотрансферази, міоглобіну (1 добу);

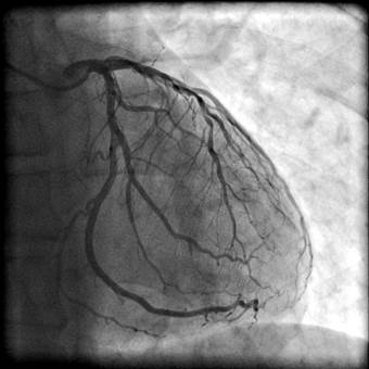
- ангіографія коронарних артерій (мал. 2)

 

image020

Мал.2. Ангіографія коронарних артерій

 

Ангіографія коронарних артерій і КТ-коронарографія є методи з контрастуванням судин міокарда, що дозволяє визначити їх прохідність, збереження просвіту, ступінь оклюзії;

- холтерівське моніторування тощо.

У разі інфаркту міокарда можуть виникнути ускладнення:

Кардіогенний шок, аритмії, тромбоемболії, перфорація перегородки, аневризма шлуночка (гостра чи хронічна), синдром Дреслера.

 

6.10. Синдром гострої недостатності кровообігу

Гостра серцево-судинна недостатністьце нездатність серця і судин забезпечити необхідне кровопостачання органів та тканин метаболічним потребам, що призводить до порушення функцій клітин та їх загибелі.

Розрізняють:

- гостру серцеву недостатність (лівошлуночкову, правошлуночкову);

- гостру судинну недостатність (непритомність, колапс, шок);

- змішану недостатність.

У разі гострої серцево-судинної недостатності виникає синдром малого викиду.

Гостра лівошлуночкова недостатністьце нездатність лівого шлуночка перекачати кров із малого кола кровообігу у велике.

Патофізіологічною основою гострої серцево  недостатності є порушення кровобігу в коронарних судинах лівого шлуночка, що зумовлює зниження серцевого викиду.

Причини:

1. Інфаркт міокарда;

2. Мітральна вада серця;

3. Стеноз лівого атріовентрикулярного отвору;

4. Стеноз і недостатність аортального клапана;

5. Гіпертонічна хвороба.

Клінічно проявляється серцевою астмою та інтерстиціальним і альвеолярним набряком легенів (ядуха+кашель з виділенням харкотиння рожевого кольору).

За клінічним перебігом розрізняють варіанти:

- миттєвий (смерть настає через декілька хвилин);

- гострий (тривалістю до 1 год);

- затяжний (тривалістю до 2 діб); 

- рецидивний.

Останній має хвилеподібний характер, найчастіше зустрічається у разі інфаркту міокарда.

 

Таблиця 5

Диференціфльна діагностика серцевої та бронхіальної астми

1

Анамнез

Хвороби органів дихання

Хвороби органів серцево-

судинної системи

2

Вид задишки

експіраторна

інспіраторна

3

Аускультація

сухі свистячі хрипи по всій поверхні легень

вологі дрібнопухирчасті хрипи в нижніх відділах легень

4

Набряки на нижніх кінцівках

немає

можуть бути наявні

5

Додаткові методи обстеження

підтверджують БА

підтверджують

захворювання ССС

 

Гостра правошлуночкова недостатність – це зниження скоротливої здатності правого шлуночка.

Основними причинами є емболія легеневої артерії, інфаркт міокарда, швидке вливання розчинів, миготлива аритмія, тромбофлебіт судин нижніх кінцівок, малого таза, підвищенне згортання крові, недостатність кровообігу, особливо у хворих з ожирінням, похилого віку.

Клінічно проявляються: вираженим акроціанозом, тахікардією, ядухою, різким здуттям і пульсацією підшкірних вен (на шиї). З’являються набряки на нижніх кінцівках, збільшується печінка, виникає асцит. Різко підвищується центральний венозний тиск (200–250 мм вод.ст., N – 80–100).

 


6.11. Синдром хронічної недостатності кровообігу

Хронічна серцева недостатність (далі – СН) – це складний клінічний синдром, який виникає внаслідок будь-якої серцевої патології, яка погіршує скоротливу здатність шлуночків, що призводить до порушення адекватного кровопостачання органів і тканин.

Причини: захворювання міокарда (міокардити, кардіосклерози, кардіоміопатії, міокардіодистрофії); вади серця, підвищення АТ (гіпертонічна хвороба, симптоматичні артеріальні гіпертензії, легенева гіпертензія); порушення діастолічного наповнення шлуночків серця (ексудативний і адгезивний перикардити, рестриктивні кардіоміопатії, тампонада серця); надмірні фізичні навантаження, внутрішньовенне введення надмірної кількості рідини; патологічні зміни в малому колі кровообігу (тромбоемболія легеневої артерії, спонтанний пневмоторакс, двобічна пневмонія).

Клінічні стадії ХСН

Перша стадія – початкова, друга – виражена тривала недостатність кровообігу (поділяється на А і Б), третя – кінцева, дистрофічна.

СН І (початкова, прихована) – поява задишки, тахікардії, втоми лише під час фізичного навантаження, яке раніше не викликало дискомфорту; в спокої гемодинаміка, функції органів та обмін речовин не порушені; працездатність знижена. Проведення проб із дозованим фізичним навантаженням виявляє зниження толерантності до навантаження.

СН ІІ А (початок тривалої стадії) – ознаки застою в одному з кіл кровообігу (частіше малому), які можна усунути під час проведення відповідного лікування. Задишка, серцебиття, неприємні відчуття у ділянці серця, підвищена стомлюваність з'являються на фоні звичайних незначних фізичних навантажень. Працездатність суттєво знижена. Під час об’єктивного обстеження визначають або застійні явища в легенях (за лівошлуночкової недостатності), або збільшення печінки, пастозність чи набряк нижніх кінцівок, які можуть зникати вранці (за правошлуночкового типу СН).

СН ІІ Б (кінець тривалої стадії) – ознаки застою в обох колах кровообігу, які є постійними, повністю не зникають, незважаючи на лікування.

Задишка, серцебиття, дискомфорт з'являються за найменшого фізичного навантаження і навіть у спокої. Хворі непрацездатні. Під час об’єктивного обстеження визначають застійні хрипи в легенях, збільшення печінки, набухання вен, постійні набряки спершу на нижніх кінцівках, а згодом і на попереку, верхніх кінцівках. Потім може розвинутись анасарка, гідроторакс, гідроперикард, асцит.

СН ІІІ (кінцева, дистрофічна) – тяжкі розлади гемодинаміки з розвитком незворотних змін в органах, загальною дистрофією, інколи виснаженням, повною втратою працездатності.

Ознаки застою у малому і великому колі кровообігу виражені максимально – анасарка, асцит, гідроторакс, гідроперикард, є важкі дистрофічні зміни різних тканин, загальне виснаження хворого, яке частково маскується набряками.


Варіанти серцевої недостатності

Систолічний – порушення гемодинаміки зумовлене, головним чином, недостатністю систолічної функції лівого шлуночка.

Основний критерій – величина фракції викиду лівого шлуночка ≤ 40%.

Діастолічний розлад гемодинаміки зумовлений, головним чином, порушенням діастолічного наповнення лівого (або правого) шлуночків.

Основний критерій – наявність клінічних ознак серцевої недостатності, застійних явищ у малому колі (або малому та великому колах) кровообігу за збереженої (≥ 50%) фракції викиду недилятованого лівого шлуночка.

Функціональні класи (ФК) серцевої недостатності

ФК І – хворі з захворюванням серця, у яких виконання звичних навантажень не призводить до задишки, втоми і серцебиття. Толерантність до фізичного навантаження нормальна.

ФК II – хворі з помірним обмеженням фізичної активності. Задишка, втома, серцебиття виникають під час звичного фізичного навантаження. Толерантність до фізичного навантаження 75–100 Вт.

ФК ІІІ – хворі з вираженим обмеженням фізичної активності. Задишка, втома та серцебиття – під час незначного фізичного навантаження. Толерантність до фізичного навантаження – 50 Вт.

ФК ІV хворі, у яких практично будь-який рівень фізичної активності викликає зазначені вище суб’єктивні симптоми. Остання виникає, і в стані спокою. Толерантність до фізичного навантаження – 25 Вт.

 

ПРАКТИЧНА РОБОТА СТУДЕНТІВ ПІД КЕРІВНИЦТВОМ ВИКЛАДАЧА

Практичний навик 1. Визначення верхівкового поштовху

Попередня підготовка

1. Привітатися та познайомитися з пацієнтом, пояснити мету дослідження.

2. Отримати згоду на проведення дослідження.

3. Провести психологічну підготовку пацієнта до процедури. Він має зрозуміти характер відчуттів, які бувають під час дослідження.

4. Просимо пацієнта набути необхідного положення (стоячи/лежачи), звільнити верхню частину тіла від одягу.

Основні етапи виконання навику

1. Вимити руки під проточною водою, двічі намилюючи їх милом, висушити одноразовим рушником, обробити руки антисептиком за стандартною методикою.

2. Долоню правої руки прикласти на ділянку серця основою кисті до груднини, а пальцями – до пахвової ділянки між ІІІ і VІ ребрами.

3. Якщо під долонею відчувається поштовх, в епіцентрі його пульсації верхівкою кінцевої фаланги третього пальця точно визначити локалізацію верхівкового поштовху, силу, висоту та площу.

4. Якщо під долонею верхівковий поштовх не визначається, його виявляють у інший спосіб: на ділянку серця прикладають долоню аналогічно вищеописаному, але кінцеві фаланги напівзігнутих пальців розташовують уздовж лівої передньої пахвової лінії в такому порядку: V палець – у шостий, IV – у п’ятий, ІІІ – у четвертий, ІІ – у третій міжреберний проміжки). Просуваючи кожен палець зазначеним міжреберним проміжком досередини, знаходять верхівковий поштовх, фіксують у його епіцентрі палець і, піднімаючи всі інші пальці, таким чином позначають локалізацію верхівкового поштовху.

Примітка: у сумнівних випадках пальпацію верхівкового поштовху рекомендується проводити в положенні хворого на лівому боці.

Заключний етап:

Оцінювання: визначають площу верхівкового поштовху в сантиметрах квадратних кінцевими фалангами одного або двох (трьох) складених пальців руки. За площею розрізняють розлитий (понад 2 см2) та обмежений (менше ніж 2 см2) верхівкові поштовхи.

Про висоту верхівкового поштовху судять за амплітудою коливань тканин під пальцем, приставленим без будь-якого натискання до його епіцентру. У разі значної амплітуди коливань поштовх вважають високим, за незначної амплітуди – низьким.

Силу верхівкового поштовху характеризує протидія його пальцеві під час натискання. Якщо для припинення коливання тканин у ділянці верхівкового поштовху необхідне досить значне зусилля, поштовх розцінюють як сильний, якщо коливання тканин припиняється після незначного натискування – верхівковий поштовх слабкий.

У нормі верхівковий поштовх локалізується на 1–2 см досередини від лівої середньоключичної лінії в п’ятому міжреберному проміжку, обмежений – у межах одного міжреберного проміжку (2 см2), несильний, низький.

У положенні хворого на лівому боці верхівковий поштовх зміщується на 2–3 см ліворуч, у положенні на правому боці – на 1–1,5 см праворуч. Приблизно в третині випадків у здорових людей верхівковий поштовх локалізується в проєкції ребра і тому не пальпується. У разі гіпертрофії лівого шлуночка верхівковий поштовх зміщується ліворуч і донизу, розлитий, високий, резистентний – куполоподібний верхівковий поштовх зміщується ліворуч.

Вимити і висушити руки, обробити антисептиком. Зробити запис у медичній документації.

 

Практичний навик 2. Визначення систолічного і діастолічного тремтіння («котячого муркотіння»)

Попередня підготовка

1. Привітатися та познайомитися з пацієнтом, пояснити мету дослідження.

2. Отримати згоду на проведення дослідження.

3. Провести психологічну підготовку пацієнта до процедури. Він має зрозуміти характер відчуттів, які бувають під час дослідження.

4. Просимо пацієнта набути необхідного положення (стоячи/лежачи) звільнити верхню частину тіла від одягу.

Основні етапи виконання навику

1. Вимити руки під проточною водою, двічі намилюючи їх милом, висушити одноразовим рушником, обробити руки антисептиком за стандартною методикою.

2. В разі стенозу лівого передсердно-шлуночкового отвору – розташувати долоню на ділянці серця, як під час пальпації верхівкового поштовху, в діастолу відчувається пресистолічна вібрація грудної стінки.

3. У разі стенозу устя аорти визначається систолічне тремтіння, якщо прикласти складені пальці руки до ділянки вислуховування клапана аорти в другому міжреберному проміжку справа від груднини і паралельно їй.

4. У разі стенозу устя легеневої артерії в другому міжреберному проміжку ліворуч від краю груднини під час пальпації визначають систолічне тремтіння.

Заключний етап: вимити і висушити руки, обробити антисептиком. Зробити запис у медичній документації.

 

Практичний навик 3. Визначення артеріального пульсу на променевій артерії

Попередня підготовка:

1. Привітатись з пацієнтом, представитись.

2. Пояснити пацієнту/родичам мету і хід дослідження, отримати згоду.

3. Забезпечити право на інформацію, усвідомлену участь у дослідженні.

4. Провести психологічну підготовку.

5. Підготувати необхідне оснащення (секундомір, медичну документацію).

Основні етапи виконання навику.

1. Вимити і висушити руки, обробити антисептиком за стандартною методикою.

2. Надати пацієнту зручне положення сидячи або лежачи. Створити комфортне положення, забезпечити достовірний результат.

3. Охопити одночасно кисті пацієнта пальцями своїх рук вище променевозапястного суглобу так, щоб 2, 3 і 4-й пальці знаходилися над променевою артерією (2-й палець біля основи великого пальця).

4. Порівняти коливання стінок артерій на правій і лівій руках.

5. Порівняти характеристику пульсу на обох руках для з'ясування стану артерії і визначення більш чіткої пульсації; 2-й (вказівний) палець є найчутливішим, тому його розташовують над променевою артерією біля основи великого пальця.

6. Провести підрахунок пульсових хвиль на тій артерії, де вони краще виражені протягом 60 секунд для забезпечення точності визначення частоти пульсу.

7. Оцінити інтервали між пульсовими хвилями для визначення ритму пульсу.

8. Оцінити наповнення пульсу для визначення величини обсягу артеріальної крові, що утворює пульсову хвилю.

9. Притиснути променеву артерію до зникнення пульсу і оцінити напругу пульсу для уявлення про величину артеріального тиску.

Заключний етап: після завершення процедури помити руки, висушити одноразовим рушником, обробити антисептиком, провести реєстрацію властивостей пульсу в температурному листі графічним, а в листі спостереження – цифровим способом.

 

Практичний навик 4. Вимірювання артеріального тиску на плечовій артерії

Попередня підготовка

1. Привітатись з пацієнтом, представитись.

2. Пояснити пацієнту/родичам мету і хід дослідження, отримати згоду.

3. Забезпечити право на інформацію, усвідомлену участь у дослідженні.

4. Провести психологічну підготовку.

5. Підготувати необхідне оснащення (тонометр, медичну документацію).

6. Перед вимірюванням пацієнт має відпочити у сидячому або лежачому положенні протягом кількох хвилин.

Основні етапи виконання навику

1. Вимити і висушити руки, обробити антисептиком за стандартною методикою.

2. Передпліччя та плече слід звільнити від стискаючого одягу.

3. Ліктьову ямку розташовують на рівні четвертого міжребер'я.

4. М'язи рук мають бути розслабленими.

5. Під час первинного обстеження AT вимірюють на обох руках.

6. Манжету накладають на 2–3 сантиметри вище ліктьового згину.

7. Манжету затискують так, аби простір між нею і поверхнею плеча міг пропустити один палець.

8. Після закриття вентиля гумового балону манометра інтенсивними рухами нагнітають повітря до величини тиску, який на 25–30 мм.рт.ст. перевищує рівень у разі зникнення пульсу на променевій артерії (визначається пальпаторно).

9. Повільно і плавно (зі швидкістю зниження тиску на 2 мм.рт.ст. за 1 с) випускають повітря з манжети.

10.  За допомогою стетоскопу (фонендоскопу), розташованому в ділянці проєкції ліктьової артерії (попередньо визначається пальпаторно), вислуховують тони Короткова.

11.  Показник манометра в момент появи початкового тону (1 тон Короткова) приймають за систолічний тиск, а в момент повного зникнення тонів (5 тон Короткова) – за діастолічний тиск.

12.  Вимірюють артеріальний тиск на обох руках щонайменьше двічі з проміжком через 3-и хвилини.

13.  За істинну величину AT приймають середні результати вимірювання.

14.  З практичною метою доцільно визначати такі показники артеріального тиску: систолічний, діастолічний.

·       пульсовий (різниця між систолічним і діастолічним) середньодинамічний (1/3 пульсового + діастолічний)

·       основний (виміряний в умовах, наближених до основного обміну, тобто вранці натще)

·       випадковий (виміряний в умовах повсякденної життєдіяльності обстежуваного).

 

Таблиця 6

Класифікація артеріального тиску за рівнем (ВООЗ/МТГ, 1999, 2007)

Артеріальний тиск

Систолічний, мм.рт.ст.

Діастолічний мм.рт.ст.

нормальний

100–130

60–85

оптимальний

<120

<80

високий нормальний

130–139

85–89

Артеріальна гіпертензія

І ступінь

 

140–159

 

90–99

ІІ ступінь

160–179

100–109

ІІІ ступінь

≥ 180

≥ 110

ізольована систолічна АГ

>140

<90

 

Заключний етап: після завершення навику помити руки, висушити одноразовим рушником, обробити антисептиком, провести реєстрацію АТ в температурному листі графічним, а в листі спостереження – цифровим способом.

 

Практичний навик 5. Проведення аускультації серця

Попередня підготовка

1. Привітатися та познайомитися з пацієнтом, пояснити мету дослідження.

2. Отримати згоду на проведення дослідження.

3. Провести психологічну підготовку пацієнта до процедури. Він має зрозуміти характер відчуттів, які бувають під час дослідження.

4. Просимо пацієнта набути неохідного положення (стоячи/лежачи) звільнити верхню частину тіла від одягу.

Основні етапи виконання навику:

1. Вимити руки під проточною водою, двічі намилюючи їх милом, висушити одноразовим рушником, обробити руки антисептиком за стандартною методикою.

2. Пересвідчитись, що мембрана фонендоскопу тепла і не викличе дискомфорт у пацієнта.

3. Вислухати серце у в 1-й точці: пальпаторно визначити локалізацію верхівкового поштовху і поставити фонендоскоп на зону поштовху. Пацієнта просимо зробити вдих–видих і затримати дихання. Вислухати звуки серця, визначити їх і оцінити в межах своєї компетенції. Першим називають той тон, який слідує після тривалої паузи, другим – тон після короткої паузи. Крім того, I тон співпадає з верхівковим поштовхом або пульсовим поштовхом сонної артерії. Це перевіряється пальпацією правої сонної артерії кінчиками II–IV пальців лівої кисті, встановлених під кутом нижньої щелепи у внутрішнього краю m. sternocleidomastoideus. У здорової людини співвідношення I і II тонів за гучністю в цій точці таке, що I тон голосніший II, але не більш ніж у 2 рази. Якщо звучність I тону більш ніж у 2 рази перевищує гучність II тону, то констатується посилення I тону (хлопаючі I тонів) у цій точці. Якщо співвідношення I тону і II тону таке, що гучність I тону рівна або слабкіша за звучання II тону, то констатується ослаблення I тону в цій точці.

4. Провести аускультацію серця в 2-й точці: пальпаторно (лівою рукою) визначити точку (у II міжребер’ї у правого краю груднини) і поставити фонендоскоп на грудну стінку в цій зоні. Пацієнта просимо зробити вдих–видих і затримати дихання. Вислухати звуки серця, визначити їх і оцінити в межах своєї компетенції.

Як правило, вислуховуються два тони. Розпізнання I і II тонів проводять за описаною вище методикою. У здорової людини в цій точці II тон голосніший першого. Якщо співвідношення I і II тонів таке, що гучність II тону рівна або слабкіше за звучання I тону, то констатують ослаблення II тону в цій точці. У разі, коли замість II тону прослуховують два нечіткі тони, констатують розщеплення II тону в цій точці, а якщо їх вислуховуютья чітко – то роздвоєння II тону.

5. Провести аускультацію серця в 3-й точці: пальпаторно (лівою рукою) визначити точку (у II міжребер’ї у лівого краю груднини) і поставити фонендоскоп на грудну стінку в цій зоні. Пацієнта просимо зробити вдих–видих і затримати дихання. Вислухати звуки серця, визначити і оцінити їх. Як правило, прослуховуються два тони. Розпізнання I і II тонів проводять за описаною вище методикою. У здорової людини в цій точці II тон голосніший за I. За патології зміни співвідношення тонів і мелодії тонів можуть бути такими ж, як і в 2-й точці аускультації. Після закінчення вислуховування серця в 3-й точці проводять повторне прослуховування серця в 2-й і 3-й точках для порівняння гучності II тону в цих двох точках. У здорових людей гучність II тону в цих точках однакова. У разі переважання гучності II тону в одній з цих точок (за умови, що в кожній точці II тон голосніший I, тобто немає його ослаблення) констатують акцент II тону над аортою або легеневою артерією відповідно.

6. Провести аускультацію серця в 4-й точці: пальпаторно (лівою рукою) визначити основу мечоподібного відростка і поставити фонендоскоп над правим краєм нижньої третини груднини. Пацієнта просимо зробити вдих–видих і затримати дихання. Вислухати звуки серця, визначити і оцінити їх. Як правило, вислуховуються два тони. У здорової людини в цій точці I тон голосніший II. У разі патології зміни співвідношення тонів і мелодії тонів можуть бути такими ж, як і в 1-й точці аускультації.

7. Провести аускультацію серця в 5-й точці: пальпаторно (лівою рукою) визначити точку (у III міжребер’ї у лівого краю груднини) і поставити фонендоскоп на грудну стінку в цій зоні. Пацієнта просимо зробити вдих-видих і затримати дихання. Вислухати звуки серця, визначити і оцінити їх. Як правило, вислуховується два тони. Гучність обох тонів у цій точці у здорової людини однакова. Зміна співвідношення звучності I і II тонів під час аускультації в 5-й точці самостійного діагностичного значення не має. Якщо, окрім тонів, між ними прослуховується продовжений звук, то це шум. У разі, коли шум вислуховується в інтервалі між I і II тонами, він називається систолічним; якщо шум визначається між II і I тоном, то він називається діастолічним.

Заключний етап: після завершення навику вимити руки, висушити одноразовим рушником, обробити антисептиком, провести записи в медичній документації. Про виявлені відхилення від норми доповісти лікарю.

 

СИТУАЦІЙНЕ ЗАВДАННЯ 1

Пацієнтка М., 45 років, скаржиться на сильний головний біль, переважно в потилиці, головокружіння, погіршення зору, носову кровотечу.

Появу скарг пов’язує з напруженими стосунками у родині. Спостерігаючи за пацієнткою, відмічається збудженість.

Об’єктивно: обличчя гіперемійоване. Пульс 100 уд./хв, ритмічний, напружений, АТ – 200/100 мм рт. ст. Що сталося з пацієнткою? Назвіть синдром, що наявний у пацієнтки, інструментальні методи обстеження для діагностики.

Відповідь.

 

СИТУАЦІЙНЕ ЗАВДАННЯ 2

Пацієнт, 45 років, скаржиться на нападоподібні, стискаючого характеру болі за грудниною, які виникають після фізичного навантаження, хвилювання. Болі не довготривалі. Об’єктивно: стан пацієнта задовільний. Пульс – 80 уд./хв. Тони серця приглушені. АТ – 130/80 мм рт. ст. Яке захворювання виникло у пацієнта? Які додаткові методи (інструментальні) обстеження допоможуть встановити наявність цього захворювання?

Відповідь.

 


СИТУАЦІЙНЕ ЗАВДАННЯ 3

У пацієнтки О., 50 років, раптово вночі з’явився напад ядухи. В анамнезі: кілька років хворіє ІХС.

Об’єктивно: пацієнтка сидить у ліжку, боїться поворухнутися. Обличчя бліде, ціанотичне. Частота дихання 30 за 1 хв, пульс 100 уд./хв, аритмічний. АТ – 180/100 мм рт. ст. Над легенями в нижніх відділах вислуховують вологі дрібнопухирчасті незвучні хрипи. Що сталося з пацієнткою? Проведіть диференційну діагностику бронхіальної та серцевої астми.

Відповідь.

ТЕСТИ

Попередня тема

На початок

Наступна тема